На главную страницу
На главную

 
 
О журнале Архив База изображений

Все новости

26.01.02. Произведена вторая успешная имплантация артериального стента Белорусского производства.
Аддерихо И. Э.
Минская областная клиническая больница

В Минской областной клинической больнице произведена имплантация артериального стента в подвздошную артерию у больного с атеросклеротическим поражением периферических артерий. Это второй случай успешной имплантации в клинике артериального проволочного стента отечественного производства (BY-STENT), которая проводилась в рамках выполнения Государственной научно-технической программы по созданию и производству отечественного артериального стента под руководством профессора БелМАПО Мрочека А. Г. (ответственный исполнитель - доцент Аддерихо И. Э.).

Конструирование и изготовление артериального стента было проведено группой Белорусских ученых под руководством доцента БГПА Минчени В. Т., а имплантация стента была проведена непосредственно доцентом БелМАПО Чижом Г. В. и заведующим ангиографическим кабинетом МОКБ Карповичем Д. И.

В дальнейшем в рамках проведения клинических испытаний планируется провести до 10 имплантаций артериальных стентов с участием не только МОКБ, но и других клиник Минска.

Думается, что после завершения клинических испытаний в Республике Беларусь появится реальная возможность эффективного лечения болезней сосудов.

Увеличить

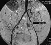
Рис. 1. Атеросклероз брюшной аорты и ее ветвей.


Увеличить

Рис. 2. Сегментарные стенозы подвздошных артерий, критический стеноз левой наружной подвздошной, окклюзия левой внутренней подвздошной артерий.


Увеличить

Рис. 3. Предилатация стенозированного участка.


Увеличить

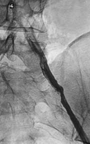
Рис. 4. Контрольная артериограмма после предилатации.


Увеличить

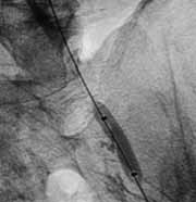
Рис. 5. Имплантация BY-STENT. Атеросклероз брюшной аорты и ее ветвей.


Увеличить

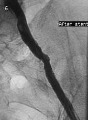
Рис. 6. Контрольная артериограмма после стентирования.

Все новости


О журнале Архив База изображений