БАЗА изображений
"Новостей лучевой диагностики"

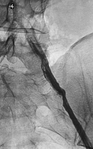
Имплантация артериального стента Белорусского производства.
 
1 2 3 4 5 6

Рис. 4. Контрольная артериограмма после предилатации.


 
Читайте подробнее: Новости от 26.01.02