БАЗА изображений
"Новостей лучевой диагностики"

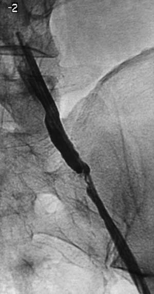
Имплантация артериального стента Белорусского производства.
 
1 2 3 4 5 6

Рис. 2. Сегментарные стенозы подвздошных артерий, критический стеноз левой наружной подвздошной, окклюзия левой внутренней подвздошной артерий.


 
Читайте подробнее: Новости от 26.01.02