БАЗА изображений
"Новостей лучевой диагностики"

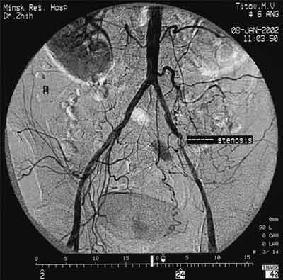
Имплантация артериального стента Белорусского производства.
 
1 2 3 4 5 6

Рис. 1. Атеросклероз брюшной аорты и ее ветвей.


 

Читайте подробнее: Новости от 26.01.02