БАЗА изображений
"Новостей лучевой диагностики"

Имплантация артериального стента Белорусского производства.
 
1 2 3 4 5 6

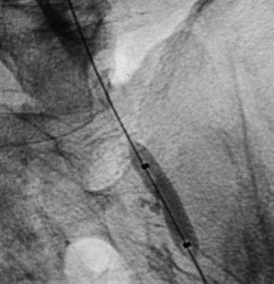
Рис. 3. Предилатация стенозированного участка.


 
Читайте подробнее: Новости от 26.01.02