БАЗА изображений
"Новостей лучевой диагностики"

КТ-ангиография. Первый опыт применения.
 
1 2 3 5

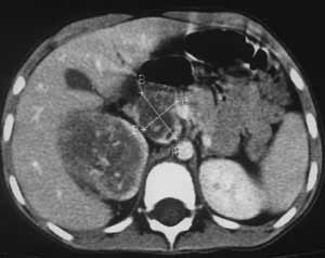
Рис 5. Нефробластома справа у больной 6 лет. Крестом отмечен опухолевый тромб (дефект контрастирования) в просвете НПВ, контрастное вещество визуализируется в просвете сосуда тонкой пристеночной полоской.


 
Новости лучевой диагностики 2000 1: 26-27