БАЗА изображений
"Новостей лучевой диагностики"

КТ-ангиография. Первый опыт применения.
 
1 2 3 5

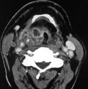
Рис. 1. КТА сосудов шеи у больного раком гортани. Метастатически увеличенные лимфоузлы в области бифуркации общей сонной артерии с компрессией внутренней яремной вены. Расширение поверхностной яремной вены, осуществляющей коллатеральный кровоток.

Новости лучевой диагностики 2000 1: 26-27