БАЗА изображений
"Новостей лучевой диагностики"

КТ-ангиография. Первый опыт применения.
 
1 2 3 5

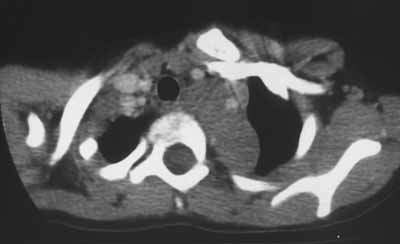
Рис. 2. Ганглионеврома верхнего средостения у больной С., 10 лет. КТА артерий дуги аорты. Левая подключичная артерия расположена в толще опухоли, левая общая сонная артерия оттеснена кпереди.


 
Новости лучевой диагностики 2000 1: 26-27