БАЗА изображений
"Новостей лучевой диагностики"

КТ-ангиография. Первый опыт применения.
 
1 2 3 5

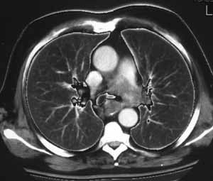
Рис. 3. КТА легочных артерий. Центральный рак легкого. Дефект контрастирования ствола и левой легочной артерии вследствие инвазии опухолью.


 
Новости лучевой диагностики 2000 1: 26-27