На главную страницу
На главную

 
 
О журнале Архив Содержание

(Новости лучевой диагностики 2000 1: 26-27)

КТ-ангиография. Первый опыт применения.

Руцкая Е. А.1,  Кавецкий С. И.2

1Белоруский государственный институт усовершенствования врачей, 2Республиканский Научно-практический Центр Детской Онкологии и Гематологии.

В последние годы в мировую практику широко внедряется КТ-ангиография, применение которой снижает потребность в выполнении рентгеноконтрастной ангиографии на 20-80% (в зависимости от анатомической области).

Разница показателей плотности кровеносных сосудов, окружающих их тканей и паренхиматозных органов в нативном изображении при КТ-исследовании несущественная.

Стандартная методика усиления КТ-изображения с в/венным введением водорастворимых йодосодержащих контрастных веществ (0,5-0,8 мл/кг) с последующим сканированием через 3-5 мин. фиксирует паренхиматозную фазу контрастирования органов и не позволяет в достаточной мере дифференцировать сосудистые структуры.
Применение спиральной КТ, имеющей высокую скорость сканирования 0,5-1 см/сек, и синхронное в/венное введение контрастного агента со скоростью 1-3 мл/сек с помощью автоматического шприца-инъектора позволяет выполнить КТ-ангиографию и визуализировать сосудистое русло на достаточном протяжении на фоне окружающих органов и структур.

Контрастирование артериальных и венозных сосудов достигается путем выбора оптимального времени задержки между началом введения контрастного препарата и началом сканирования (выбор протокола КТА) , которое зависит в значительной мере от состояния гемодинамики, места инъекции, скорости введения препарата.

По результатам 1-ой Согласительной конференции по спиральной КТ , проведенной в ФРГ (1996), признано необходимым использование только неионных контрастных средств при КТ-ангиографии (иогексол, иопромид, иодиксанол и др.) с концентрацией йода 300-350 мг/м. При обычном протоколе КТА толщина среза составляет 5-10 мм, питч 1, скорость введения контрастного в-ва 1-2 мл/сек, объем введения примерно равен скорости введения, умноженной на общее время сканирования зоны интереса (обычно не более 100мл контрастного вещества).

Показаниями к применению КТА являются:
- аневризмы грудной и брюшной аорты (включая расслоения, разрывы, тромбозы);
- аномалии развития аорты и ее ветвей, легочной артерии;
- тромбоэмболии легочной артерии;
- стенозы и окклюзии почечных, подвздошных, бедренных, сонных артерий;
- аневризмы интракраниальных артерий;
- тромбы в крупных венах;
- опухоли с предполагаемой сосудистой инвазией или комирессией сосудов для определения возможности и тактики оперативного вмешательства.

КТА сердца и коронарных артерий возможна на сверхбыстрых спиральных КТ (время среза меньше или = 0,1 сек).

В Республиканском научно-практическом центре детской онкологии и гематологии выполнено 37 КТ-ангиоргафий ( в 28 случаях детям от 1 до 15 лет) на спиральном компьютерном томографе Philips Tomoscan SR 4000 (время сканирования - 2 сек) с использованием автоматического инъектора СТ 9000 АДV.

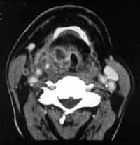
Для определения взаимоотношений опухоли с крупными сосудами и возможности оперативного вмешательства 13 пациентам контрастировались сосуды средостения и шеи (Рис. 1-3).
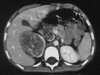
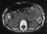
КТА сосудов брюшной полости выполнена 24 пациентам для исключения инвазии их опухолью забрюшинного пространства и почек. В 4 случаях был диагностирован опухолевый тромб в нижней полой вене (НПВ)
(Рис. 4), в 9 случаях НПВ была окружена конгломератом опухоли и л/узлов (Рис. 5).
 
Увеличить
 
Рис. 1. КТА сосудов шеи у больного М., 55 лет раком гортани.
Увеличенные (метастазы) лимфоузлы в области бифуркации общей сонной артерии с компрессией внутренней яремной вены. Расширение поверхностной яремной вены, осуществляющей коллатеральный кровоток. 

 
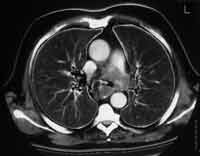
Рис. 2. Ганглионеврома верхнего средостения у больной С., 10 лет.
(а) Нативное КТ-иследование, сосудистые элементы не дифференцируются в опухоли.

 
Увеличить
 
Рис. 2. Ганглионеврома верхнего средостения у больной С., 10 лет. 
(б) КТА артерий дуги аорты. Левая подключичная артерия расположена в толще опухоли, левая общая сонная артерия оттеснена кпереди.

 
Рис. 2. Ганглионеврома верхнего средостения у больной С., 10 лет.
(в) Кривая белая линия - плоскость реформации.

 
Рис. 2. Ганглионеврома верхнего средостения у больной С., 10 лет.
(г) Реформация изображения контрастированных сосудов в плоскости дуги аорты.

 
Увеличить
 
Рис. 3. Центральный рак легкого у больного К. , 53 года. КТА легочных артерий. Дефект контрастирования ствола и левой легочной артерии вследствие инвазии опухолью.

 
Рис. 4. Нефробластома правого надпочечника у у б-го С., 1,5 лет. 
(а) Нативное КТ-исследование.

 
Рис. 4. Нейробластома правого надпочечника у б-го С., 1,5 лет.
(б) КТА. НПВ компремирована, располагается в толще опухоли. Сброс венозной крови в полунепарную вену. Деформация и отклонение правой почечной артерии.

 
Увеличить
 
Рис. 5. Нефробластома справа у больной П., 6 лет. 
А-Б, С-Д – опухолевый тромб (дефект контрастирования) в просвете НПВ, контрастное вещество визуализируется в просвете сосуда тонкой пристеночной полоской (А). 

Основными преимуществами КТА в сравнении с “золотым стандартом” - рентгеноконтрастной ангиографией являются:
- минимальная инвазивность метода - в/венная катетеризация при КТА несравнимо безопаснее в/артериальной при стандартной АГ;
- КТА может выполняться амбулаторным пациентам;
- КТА позволяет оценить не только просвет, но и стенку сосуда, а также взаимоотношения его с окружающими тканями и опухолью;
- при КТА возможно выполнение многоплоскостных и объемных реконструкцией изображений (при соответствующем программном обеспечении), что значительно облегчает интерпретацию и демонстрацию результатов исследования.

Таким образом, КТ-ангиография является высокоинформативным и относительно безопасным методом визуализации сосудов. Эффективность метода в определении взаимоотношений крупных сосудов и опухоли трудно переоценить.

Литература:

1. Терновой С. К. , Синицын В. Е.
Спиральная компьютерная и электронно-лучевая ангиография . М. : Bидар, 1998. 144 c.
2. Rogalla P. , Mutze S. , Hamm B. Body C. T. State-of-the-Art. - Munhen: Zucksch werdt, 1996. 159 c.
 

О журнале Архив Содержание