БАЗА изображений
"Новостей лучевой диагностики"

Рентгенпризнаки патологии органов пищеварения и живота на обзорных рентгенограммах органов грудной клетки.
 
1 2 3 5 6

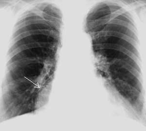
Рис. 3. Грыжа пищеводного отверстия диафрагмы. (Слева) На прямой ренгенограмме грудной клетки дополнительная тень в правом кардио-диафрагмальном угле. (Справа) На правой боковой ренгенограмме грудной клетки добавочная тень в заднем средостении.
 
 
Новости лучевой диагностики 1999 1: 4-6