БАЗА изображений
"Новостей лучевой диагностики"

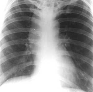
Рентгенпризнаки патологии органов пищеварения и живота на обзорных рентгенограммах органов грудной клетки.
 
1 2 3 5 6

Рис. 1. Ахалазия. Дилатированный пищевод расширяет средостение вправо.


 
Новости лучевой диагностики 1999 1: 4-6