БАЗА изображений
"Новостей лучевой диагностики"

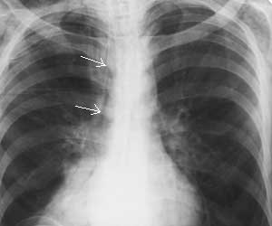
Рентгенпризнаки патологии органов пищеварения и живота на обзорных рентгенограммах органов грудной клетки.
 
1 2 3 5 6

Рис. 2. Пневмомедиастинум как следствие перфорации пищевода. Полоска газа в средостении справа (стрелки).


 
Новости лучевой диагностики 1999 1: 4-6