БАЗА изображений
"Новостей лучевой диагностики"

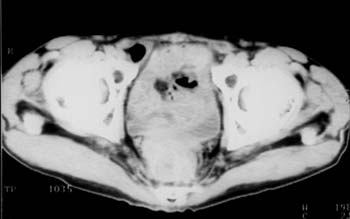
Интроскопическая диагностика рецидива рака прямой кишки.
 
1 2 3 4 5 6

Рис. 3. Рецидив. Через 11 мес после операции между крестцом и мочевым пузырем определяется дополнительное мягкотканное образование. Семенные пузырьки не дифференцируются. Внутри опухоли участок снижения плотности - некроз.


 
Новости лучевой диагностики 1999 1: 21-23