БАЗА изображений
"Новостей лучевой диагностики"

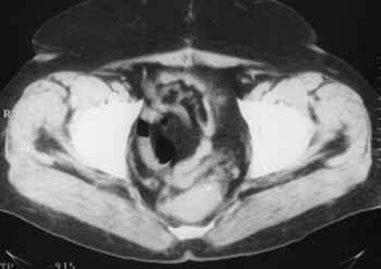
Интроскопическая диагностика рецидива рака прямой кишки.
 
1 2 3 4 5 6

Рис. 1. Смещение матки к крестцу через 5 месяцев после оперативного лечения по поводу рака прямой кишки. Рецидива нет.


 
Новости лучевой диагностики 1999 1: 21-23