БАЗА изображений
"Новостей лучевой диагностики"

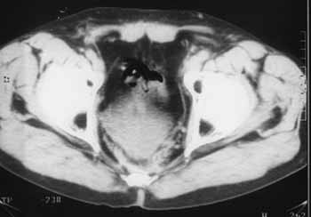
Интроскопическая диагностика рецидива рака прямой кишки.
 
1 2 3 4 5 6

Рис. 2. Через 2 года после операции отмечается деформация и смещение кзади мочевого пузыря, фиброзные изменения предсакральной клетчатки. Рецидива нет.


 
Новости лучевой диагностики 1999 1: 21-23