БАЗА изображений
журнала  "Новости лучевой диагностики"

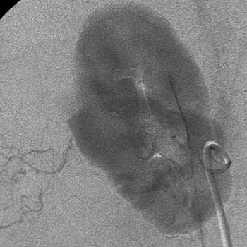
Связь ангиографической семиотики и морфологического строения при раке почки.
 
1 2 3 4 5 6 7 8 9

Рис. 9. Рак правой почки. Т1N0M0. В паренхиматозную фазу ангиографии определяется аваскулярное объёмное образование, нарушающее целостность контура почки.


 
Новости лучевой диагностики онлайн 2004 1