БАЗА изображений
журнала  "Новости лучевой диагностики"

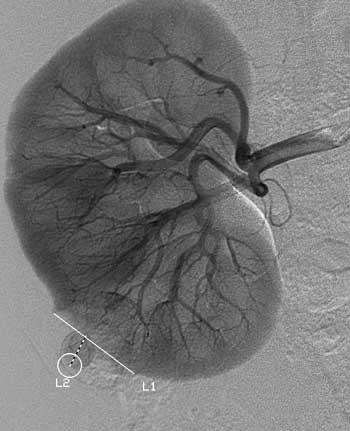
Связь ангиографической семиотики и морфологического строения при раке почки.
 
1 2 3 4 5 6 7 8 9

Рис. 7. Рак правой почки. Т1N0M0. Внутри округлого аваскулярного образования (дистанция L1) определяется гиперваскулярный узел (дистанция L2). VII тип васкуляризации.


 
Новости лучевой диагностики онлайн 2004 1