БАЗА изображений
журнала  "Новости лучевой диагностики"

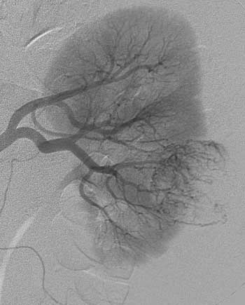
Связь ангиографической семиотики и морфологического строения при раке почки.
 
1 2 3 4 5 6 7 8 9

Рис. 4. Рак левой почки. T3aN0M0. Опухоль IV типа васкуляризации. Мелкие опухолевые сосуды неравномерно распре-делены по площади опухоли.


 
Новости лучевой диагностики онлайн 2004 1