БАЗА изображений
журнала  "Новости лучевой диагностики"

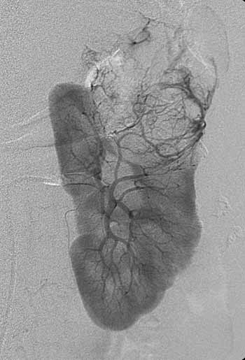
Связь ангиографической семиотики и морфологического строения при раке почки.
 
1 2 3 4 5 6 7 8 9

Рис. 1. Рак левой почки. T3a N0 M0. Cеть разнокалиберных опухолевых сосудов, напоминающих языки пламени. Опухоль выходит за пределы контура почки. Внутренняя структура опухоли неоднородная.


 
Новости лучевой диагностики онлайн 2004 1