БАЗА изображений
"Новостей лучевой диагностики"

Первый опыт использования Пульмоскана-760, как цифровой компьютерной системы для исследования органов грудной клетки в условиях многопрофильной больницы.
 
1  2

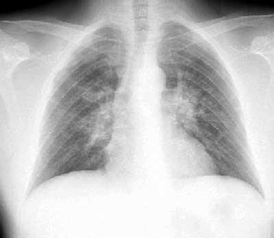
Рис. 2. Цифровая рентгенография легких на аппарате "Пульмоскан-760" (НПП "Адани", Беларусь).
Определяется увеличение бронхопульмональных лимфоузлов, интерстициальные и очаговоподобные изменения, морфологическим субстратом которых являются саркоидозные гранулемы.


 
Новости лучевой диагностики 2000 2: 14-15