На главную страницу
На главную

 
 
О журнале Архив Содержание

(Новости лучевой диагностики 2000 2: 14-15)

Первый опыт использования Пульмоскана-760, как цифровой компьютерной системы для исследования органов грудной клетки в условиях многопрофильной больницы.

Зверев Л. А., Гомбалевский Н. К., Касперович А. С. Костин С. Л.

Могилевская областная больница.

Рентгенологическое исследование грудной клетки — наиболее часто выполняемая процедура и в Могилевской областной больнице составляет 37,3% от общего количества рентгенологических исследований.

Мы всегда знаем и помним:
- что согласно рекомендациям ВОЗ и опыта ведущих клиник показания к рентгеноскопии органов грудной клетки весьма ограничены;
- что единственно возможным способом получения изображения органов грудной клетки является рентгенография;
- что обязательно соблюдать основной принцип лучевой диагностики: максимум информации при минимальной стоимости и минимальном риске;
- что всякая попытка ограничить масштабы применения рентгенологического исследования (особенно органов грудной клетки) представляет на практике весьма сложный процесс и идеальный отбор больных обеспе чить невозможно, т.к. показаний к исследованию грудной клетки великое множество.

Таким образом, можно представить себе экономические последствия вышеизложенного для бюджета больницы. При существующем финансировании здравоохранения закупить столь значительное количество крупноформатной пленки и растворов для машинного проявления категорически невозможно. И выход один – мы вынуждены применять широко скопический метод исследования, со всеми известными недостатками его.
Так, в 1999 г. из 37,3% исследований грудной клетки 26,3% были обследованы скопическим методом и только 11% была сделана рентгенография легких. После установки «Пульмоскана» соотношения резко изменились. Сейчас 12,8% мы обследуем скопическим методом и 24,5% производим рентгенографию легких, в основном используя «Пульмоскан».

Элементарный подсчет позволяет сделать вывод, что использование «Пульмоскана» позволило на 26.000 больных, прошедших в год через стационар:
- за счет беспленочной графии только органов грудной клетки дать экономию почти в 4,500,000 рублей;
- и за счет уменьшения рентгеноскопий, снизить коллективную дозу примерно на 1400 мЗв.

Таким образом, два из трех принципов лучевой диагностики соблюдены: минимальная стоимость при минимальном риске.

Теперь третий и самый важный принцип – максимальная информация: именно от нее зависит качество диагностики. Или проще – чем больше мелких деталей видно в изображении, тем лучше диагностика и тем раньше выявляются патологические изменения.

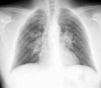
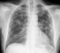
Безусловно, такие морфологические изменения, как число очагов, форма, размеры, интенсивность, структура, контуры, хорошо определяются, так как пространственное разрешение с учетом проекционного увеличения изображения составляет 0,5 мм (1 пара линий/мм.) (Рис. 1, 2).
 
Увеличить
 
Рис. 1. Количество, величина, форма, интенсивность, структура и контуры патологических образований хорошо определяются.

 
Увеличить
 
Рис. 2. Определяется увеличение бронхопульмональных лимфоузлов, интерстициальные и очаговоподобные изменения, морфологическим субстратом которых являются саркоидозные гранулемы.

Точная характеристика некоторых элементов патологического легочного рисунка трудна: так, не определяется лобулярная эмфизема, перилобулярное и перибронхиальное уплотнение соединительной ткани, линии Керли и т.д., но увеличение числа элементов рисунка в единице площади и исчезновение имеющихся в норме малососудистых зон побуждают сделать пленочную рентгенограмму легких (около 10%). Кроме того, в практической работе наши находки патологии рисунка далеко не всегда приводят к изменению лечения или тактики ведения больного.

Большую настороженность вызывает возможность пропуска диссеминированных процессов, но здесь верным признаком, побуждающим произвести полноценную повторную рентгенографию, является признак ослабления легочного рисунка.

Таким образом, наш небольшой опыт использования «Пульмоскана» в многопрофильной больнице, как аппарата для цифровой рентгенографии грудной клетки, выявил следующие возможности:
- экономичность в эксплуатации — нет необходимости использовать рентгеновскую пленку и расходные материалы;
- высокая производительность;
- удобное архивирование и быстрый поиск в памяти, динамическое наблюдение;
- возможность работать через компьютерные сети;
- программное обеспечение рационально и удобно как для лаборанта, так и для врача. Им могут пользоваться люди, не имеющие специальных навыков работы на персональном компьютере;
- и, наконец, получаемая информация обеспечивает достаточно точную диагностику.

Важным, с нашей точки зрения, в нынешней экономической ситуации, является доступность приобретения «Пульмоскана» и, главное, приобщения широкого круга врачей-рентгенологов и рентгенлаборантов периферической лечебной сети к азам современных цифровых систем. Это их первый шаг к высоким технологиям в лучевой диагностике. И, безусловно, коллективный накопленный опыт позволит при творческом содружестве с НПП «Адани» усовершенствовать систему.
 

О журнале Архив Содержание