БАЗА изображений
"Новостей лучевой диагностики"

Первый опыт использования Пульмоскана-760, как цифровой компьютерной системы для исследования органов грудной клетки в условиях многопрофильной больницы.
 
2

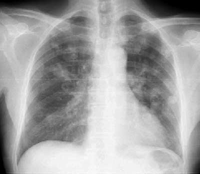
Рис. 1. Цифровая рентгенография легких на аппарате "Пульмоскан-760" (НПП "Адани", Беларусь). Количество, величина, форма, интенсивность, структура и контуры патологических образований в легких хорошо определяются.


 
Новости лучевой диагностики 2000 2: 14-15