БАЗА изображений
"Новостей лучевой диагностики"

Некоторые аспекты лучевой диагностики аневризматической костной кисты.
 
1 2 3 4

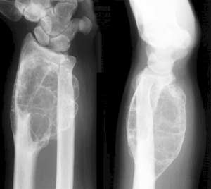
Рис. 4. Аневризматическая костная киста локтевой кости. Вздутие и ячеистость структуры кости делуют рентгенкартину похожей на гигантоклеточную опухоль.


 
Новости лучевой диагностики 2001 1-2: 22-24