БАЗА изображений
"Новостей лучевой диагностики"

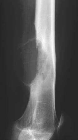
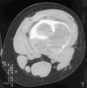
Некоторые аспекты лучевой диагностики аневризматической костной кисты.
 
1 2 3 4

Рис. 3. Аневризматическая костная киста бедренной кости. (Слева) Рентгенограмма в боковой проекции. (Справа) Компьютерная томограмма.
 
 
Новости лучевой диагностики 2001 1-2: 22-24