БАЗА изображений
"Новостей лучевой диагностики"

Некоторые аспекты лучевой диагностики аневризматической костной кисты.
 
1 2 3 4

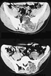
Рис. 2. Аневризматическая костная киста крестца. Компьютерная томограмма.


 
Новости лучевой диагностики 2001 1-2: 22-24