БАЗА изображений
"Новостей лучевой диагностики"

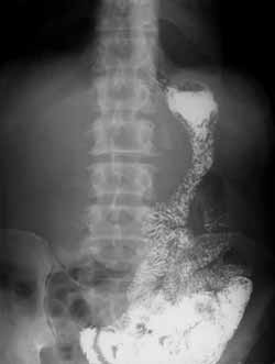
Моторно-эвакуаторная функция желудочно-кишечного тракта у больных, перенесших операции на желудке.
 
1 4 5

Рис. 5. Гастроэктомия с формированием эзофагоэнтероанастомоза - наиболее обширная операция, выполняемая на желудке при тотальном или субтотальном опухолевом поражении.


 
Новости лучевой диагностики 2000 1: 12-14