БАЗА изображений
"Новостей лучевой диагностики"

Моторно-эвакуаторная функция желудочно-кишечного тракта у больных, перенесших операции на желудке.
 
1 4 5

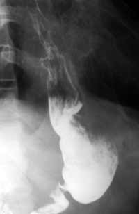
Рис. 4.  Патологические процессы, локализующиеся в верхних отделах желудка, в основном опухолевого генеза, завершаются выполнением проксимальной резекции желудка с формированием гастроэнтеростомы. Анастомоз формируется с оставшейся частью антрального отдела желудка или даже с препилорической зоной.
Культя желудка после субтотальной проксималъной резекции.


 
Новости лучевой диагностики 2000 1: 12-14