На главную страницу
На главную

 
 
О журнале Архив Содержание

(Новости лучевой диагностики 2000 1: 12-14)

Моторно-эвакуаторная функция желудочно-кишечного тракта у больных, перенесших операции на желудке.

Гренков Г. И.1, Луд Н. Г.1, Медведский В. Е.1, Вальшонок О. Н.2

1Витебский медицинский институт, 2Витебский онкологический диспансер.

В настоящее время число хирургических вмешательств на желудке, осуществляемых по поводу опухолевых поражений и язвенной болезни, исчисляется многими сотнями. Параллельно с увеличением их количества постоянно разрабатывается или совершенствуется тактика и техника вмешательств, обеспечивающая последующую наиболее благоприятную функцию пищеварения.

В то же время адаптационноприспособительные реакции органов пищеварения различны. У одной категории больных наступившая компенсация столь значительна, что они чувствуют себя здоровыми в течение многих последующих лет жизни и трудовой деятельности. В другой категории пациентов появляются разнообразные изменения вначале функционального, а затем и морфологического характера, широко известные как демпинг синдром, синдром приводящей петли и т. д.

Рентгенологический метод занимает ведущее место в объективной оценке результатов хирургического лечения заболеваний желудка. Он позволяет выяснить вид хирургического вмешательства, оценить функциональное и морфологическое состояние оперированного органа и всего пищеварительного канала в различные временные промежутки, выяснить наличие или отсутствие осложнений, степень их выраженности. Рентгенологическое исследование, отражающее состояние тонуса, секреции, перистальтики, эвакуации, компенсаторных перестроек, проводится при основных видах хирургических вмешательств: 1) резекция желудка (дистальная или проксимальная), 2) гастрэктомия, 3) реконструктивные операции, 4) ваготомии.

При резекции дистального отдела желудка с формированием анастомоза конец в конец в различных модификациях культя приобретает форму мешка или воронки. Наблюдается смещение проксимальных отделов двенадцатиперстной кишки влево и вверх. Область анастомоза в раннем послеоперационном периоде обычно остается суженной. Культя желудка при данном виде хирургического вмешательства, по сравнению с другими операциями, имеет большие размеры. Рельеф слизистой желудка меняется мало и только у небольшого числа пациентов наблюдается картина конвергенции складок в зоне анастомоза. В раннем послеоперационном периоде тонус кишки снижен. Время эвакуации в этом периоде полностью зависит от характера наложенного соустья и степени выраженности анастомозита. Яркие проявления последнего могут приводить к полной задержке бариевой взвеси в культе желудка. Характерным является наличие выраженного гиперсекреторного слоя. Отсутствие явлений анастомозита приводит к быстрой эвакуации контрастного вещества.
Перемеживающийся характер поступления бариевой взвеси в кишку наступает в более отдаленный послеоперационный период. Заполнение тощей кишки зависит от темпов эвакуации контрастного вещества из культи желудка и состояния анастомоза. Ускоренная эвакуация приводит к перенатяжению контрастной массой проксимальных отделов тощей кишки, просвет ее становится расширенным (Рис. 1). Пассаж бариевой взвеси по этому отрезку кишки, по мнению большинства авторов, становится ускоренным, хотя в дистальных отделах наблюдается некоторая гипомобильность. Однако бариевая взвесь достигает слепой кишки в несколько ранние временные промежутки. Нередко у этой категории оперированных наблюдается желудочнопищеводный или дуоденогастральный рефлюкс.
 
Рис. 1. Расширение начальных отделов тощей кишки вблизи культи желудка.

Резекция желудка с закрытием дуоденальной культи и соединение его оставшейся части с тонкой кишкой - вторая операция, выполняемая на дистальной части желудка (Бильрот-2). При этой операции культя желудка имеет разнообразную форму: чаще коническую, реже мешковидную, овоидную или цилиндрическую. Контуры желудка не только по большой кривизне, но и по малой вследствие наложения швов могут быть неровными. Это может симулировать дефект наполнения или формирование псевдодивертикула. Размеры культи желудка зависят от объема удаленной части органа и тонуса стенок. В раннем послеоперационном периоде она имеет несколько большие размеры, чем в отдаленный период. Рельеф слизистой оставшейся части желудка, в основном, сохраняет закономерности архитектоники свода и тела желудка, не выявляется каких-либо их особенностей вблизи соустья. Эвакуаторную способность культи желудка делят на три типа: непрерывный, непрерывный с переходом в порционный и порционный (Рис. 2, 3). Ускоренной считается полная эвакуация бариевой взвеси в течение первого часа; нормальной - отсутствие контрастного вещества через 1 - 1,5 часа после начала исследования и замедленной - опорожнение желудка за 2,5 часа и более. Обычно выявляется ускоренная эвакуаторная функция культи желудка и это, во многом, определяется удалением важного регулятора опорожнения - пилорической зоны. Наиболее физиологический порционноритмический тип опорожнения с сохранением нормальных сроков эвакуации остается только в случае экономной резекции органа. Каких-либо особенностей эвакуаторного процесса при разнообразных модификациях резекции желудка с формированием гастроеюностомии большинство авторов не отмечают.
 
Рис. 2. Непрерывный тип эвакуаторной способности желудка.

 
Рис. 3. Непрерывный с переходом в порционный тип эвакуаторной способности желудка.

Однако время эвакуации из культи в раннем послеоперационном периоде зависит и от степени выраженности анастомозита. При значительно выраженном анастомозите эвакуация из культи желудка так же как и при способе Бильрот-1 замедляется, иногда вплоть до полного стаза. С исчезновением отека постепенно восстанавливается проходимость анастомоза. В отдаленные сроки после операций постепенно нормализуется тонус культи и ее размеры. Полная нормализация обычно наступает через 6-12 месяцев. Поступление бариевой взвеси в приводящую кишку при отсутствии погрешностей в хирургической тактике весьма ограничено.
Пассаж бариевой взвеси по проксимальным отрезкам отводящей кишки несколько ускоренный, а по дистальным отделам неизмененный или, в некоторых случаях, замедленный.

Рассматривая вопрос частоты гастроэзофагального рефлюкса, большинство исследователей отмечают возрастание его частоты с уве-личением объема резицируемой части органа.

Патологические процессы, локализующиеся в верхних отделах желудка, в основном опухолевого генеза, завершаются выполнением проксимальной резекции желудка с формированием гастроэнтеростомы. Анастомоз формируется с оставшейся частью антрального отдела желудка или даже с препилорической зоной (Рис. 4). Культя желудка имеет форму трубки с перетяжкой в области анастомоза, то есть напоминает так называемые песочные часы, имеет относительно ровные и четкие контуры. Обычно не наблюдается существенных изменений тонуса и перистальтических сокращений культи желудка. Достаточно разноречивы сведения об эвакуаторной функции. Чаще наблюдается обычный ритм эвакуаторного процесса, имеющий порционноритмический характер и связанный с функционированием пилорического жома. Замедляющим или ускоряющим фактором эвакуации содержимого является возбуждающее или тормозное влияние на канал привратника вегетативной нервной системы, подвергшийся воздействию при хирургическом вмешательстве. У подавляющего числа больных после гастроэзофагостомии наблюдается желудочнопищеводный рефлюкс. Большинство авторов считают, что никакие технические мероприятия не позволяют восстановить клапанный механизм функционирования пищеводножелудочного перехода, лишь обращается внимание на методики позволяющие избежать в последующем сужения соустья.
 
Рис. 4. Культя желудка после субтотальной проксималъной резекции.

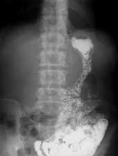
Наиболее обширная операция, выполняемая на желудке, при тотальном или субтотальном опухолевом поражении - это гастрэктомия (Рис. 5). После подобной операции формируется анастомоз между пищеводом и тонкой кишкой с разнообразными типами эзофагоеюностомий. Вначале рентгенологическое исследование выполняется для изучения состояния анастомоза. В первые месяцы после операции наличие отека слизистой и спазма приводят к задержке контрастного вещества выше места анастомоза. Возникает незначительная компенсаторная дилятация дистальных отделов пищевода. Заполняемая отводящая кишка также спазмирована, хотя после стихания реактивного анастомозита она увеличивается в просвете и контрастное вещество свободно поступает в ее дистальный отдел. В последующем наблюдается постепенное расширение проксимальных отрезков кишки с перестройкой рельефа слизистой оболочки по продольному типу. В зависимости от характера выполненной операции, бариевая взвесь может поступать и в приводящую петлю тощей кишки. Рассматривая вопросы моторики подвздошной кишки, большинство исследователей отмечают снижение ее эвакуаторной функции.
 
Рис. 5. Гастроэктомия с формированием эзофагоэнтероанастомоза.

Отсутствие резервной функции желудка приводит к появлению рефлюкс эзофагита, агастрального синдрома и ряда других состояний. Учитывая это, уже в первые десятилетия, после впервые выполненной гастрэктомии, с целью создания резервуара стали заменять удаленный орган отрезком тонкой или толстой кишки. Появился новый тип, так называемых, пластических операций (эзофагоеюнодуоденопластика, эзофагоколонодуоденопластика и др. ). Вновь сформированный желудок приобретает разнообразную форму, которая определяется методикой операции, конституцией больного, функциональным состоянием желудочнокишечного тракта и целым рядом других причин. Однако все многообразие форм сводится к желудку «в виде мешка» и «в виде расширенной трубки» с неровным контуром трансплантанта. Обращается внимание на определенные закономерности состояния слизистой оболочки трансплантанта в различные сроки после операционного периода. В течение первых месяцев определяется выраженное расширение и отек складок слизистой оболочки, особенно в зонах анастомозов с развитием в некоторых ситуациях дефектов наполнения. В более отдаленный период происходит уменьшение размеров складок слизистой кишки с формированием поперечной исчерченности. Во вновь создан-ном «желудке» эвакуация содержимого осуществляется порционно и завершается, в основном, в течение 1,5 - 2 часов после приема контраст-ного вещества.

После селективной проксимальной ваготомии происходит снижение действия кислотнопептического фактора и сохраняется желудочный резервуар, остается интактной сложная моторноэвакуаторная функция органа. Степень изменения моторноэвакуаторной функции желудка и кишечника во многом определяется видом селективной проксимальной ваготомии. У большинства пациентов эвакуация носит порционный характер, происходит синхронно и своевременно. В отдаленные сроки после селективной проксимальной ваготомии с дуоденопластикой или формированием гастродуоденоанастомоза отмечается ускоренная и непрерывная эвакуация.

Таким образом, приведенные выше данные говорят о разнообразных изменениях, происходящих в желудочнокишечном тракте, после операций на желудке, которые зависят от вида оперативного вмешательства, технических особенностей операций и позволяют объективно характеризовать компенсаторно-приспособительные реакции.
 

О журнале Архив Содержание