БАЗА изображений
"Новостей лучевой диагностики"

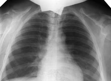
Черепно-ключичный дизостоз.  

Рисунок. Черепно-ключичный дизостоз - наследуемое по аутосомно-доминантному типу заболевание, для которого характерно частичное (имеется только акромиальный отдел или ключица фрагментирована) или реже (10%) полное отсутствие ключиц. Лопатки уменьшены в размерах. Изменён череп: увеличена мозговая и уменьшена лицевая части, большой родничок может оставаться открытым в течение всей жизни. Верхняя челюсть с придаточными пазухами недоразвиты. Характерно запоздалое и несовершенное развитие постоянных зубов (молочные зубы задерживаются до 25-30 лет). Иногда не срастаются дужки позвонков.
Больная С., 50 лет. На прямой рентгенограмме грудной клетки видно полное отсутствие ключиц с двух сторон, гипоплазия и деформация лопаток.


 
Новости лучевой диагностики 1998 4: 38