БАЗА изображений
"Новостей лучевой диагностики"

Возможности ультразвуковой диагностики опухолей надпочечников.
 
2 4 5

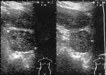
Рис. 4. Опухоль надпочечника с неоднородной структурой.


 
Новости лучевой диагностики 2000 2: 26-27