На главную страницу
На главную

 
 
О журнале Архив Содержание

(Новости лучевой диагностики 2000 2: 26-27)

Возможности ультразвуковой диагностики опухолей надпочечников.

Лукашевич Н. А.

10-ая городская клиническая больница, г. Минск.

Опухоли надпочечников наблюдаются сравнительно редко, но как известно, они чаще всего являются  гормонально активными и даже при небольших размерах приводят к различного рода эндокринным расстройствам. Однако в практике встречаются опухоли надпочечников, которые клинически протекают бессимптомно или сопровождаются неопределенными жалобами.

Данные литературы (6,2) и наш опыт показывают, что от появления первых признаков заболевания до установления диагноза проходит от 6 месяцев до 2 лет. Ранняя диагностика опухолей надпочечников стала важной клинической проблемой, для решения которой в настоящее время широко и успешно используется ультразвуковой метод исследования (УЗИ) наряду с компьютерной (КТ) и магнитно-резонансной томографиями (МРТ), ангиографией (АГ).

Эхоскопия сегодня - один из наиболее информативных и широкоиспользуемых лучевых методов диагностики. Благодаря простоте выполнения, высокой информативности, безвредности эхоскопия становится методом выбора уже на первом этапе применения инструментальных методов диагностики. Ультразвуковой метод исследования позволил существенно повысить процент ранней и точной диагностики опухолей надпочечников. С внедрением новейших аппаратов стало возможным зарегистрировать в надпочечнике любое объемное образование размером около 1 см. (Рис. 1), что по точности диагностики приближается к компьютерной томографии(1,2.5,6,7).
 
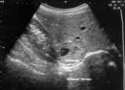
Рис. 1. Объемное образование до 1 см в диаметре в правом надпочечнике.

Целью нашей работы было изучение возможностей эхоскопии в диагностике опухолей надпочечников и подтвердить, что при правильном методическом подходе и наличии современной ультразвуковой аппаратуры можно диагностировать объемные образования  ничуть не хуже чем с помощью компьютерной и магнитно-резонансной томографии.

Материал и методы.

Клинические данные: с июня 1996 г. по май 1998 года было обследовано 23 больных в возрасте от 25 до 64 лет, у которых на основании тщательного анализа жалоб и клинико-лабораторных данных были заподозрены опухоли надпочечников. Всем пациентам было проведено исследование почек и надпочечников по обычной методике на ультразвуковом сканере СD-360 фирмы Филипс с использованием конвексного датчика частотой 3,5 МГц. Аппарат имеет автоматическую фокусировку, производимую как при излучении ультразвуковых волн, так и при приеме отраженных сигналов и обеспечивает высокую четкость эхограмм, что очень важно, например, для точного отображения тканей. В результате сочетания широкополостных датчиков с техникой CDF достигаются высокая пространственная разрешающая способность и большие глубины проникновения, что очень важно при исследовании тучных больных.

Анализ наших наблюдений свидетельствует, что правильный диагноз был поставлен 22 больным из 23 (95,6%). У одной больной с клиникой синдрома Иценко-Кушинга при эхоскопии было выявлено в области верхнего полюса правой почки эхопозитивное образование небольших размеров (30-35 мм), которое имело однородную внутреннюю эхоструктуру, четкие и ровные контуры и было расценено как доброкачественная опухоль надпочечника. Компьютерная томография не проводилась, так как имелась типичная клиническая картина синдрома Иценко-Кушинга, сопровождавшаяся клинико-лабораторными изменениями в крови и мочи. Во время операции была обнаружена  очаговая макроузловая гиперплазия надпочечника, которая подтвердилась при гистологическом исследовании удаленного образования (Рис. 2).
 
Увеличить
 
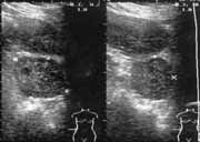
Рис. 2. Очаговая макроузловая гиперплазия надпочечника.

Согласно литературным данным (4,5,7) различают диффузную и очаговую гиперплазию надпочечников. Очаговая гиперплазия делится на микро- и макроузловую. По ультразвуковым признакам очаговую гиперплазию практически невозможно отличить от опухолей надпочечника, так что в данном случае наше заключение не может считаться диагностической ошибкой.

В 17 случаях из 23 проводилась компьютерная томография, данные которой совпали с данными УЗИ с точностью до 3-5 мм. Девяти больным из 23 была проведена операция по удалению опухолей надпочечника и данные УЗИ были подтверждены операционными данными и гистологическим исследованием.

Размеры выявленных опухолей колебались от 2 до 10 см в диаметре. Все имели капсулу, гладкую поверхность, округлую или овальную форму. Небольшие опухоли имели однородную изоэхогенную структуру (Рис. 3), а в 4 случаях, когда размер опухоли превышал 4 см, внутренняя эхоструктура была представлена неравномерным чередованием участков повышенной и пониженной эхогенности за счет зон некроза, дегенеративных изменений и обызвествлений, что подтверждалось при гистологических исследованиях удаленных опухолей (Рис. 4, 5).
 
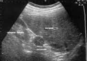
Рис. 3. Опухоль правого надпочечника с однородной структурой.

 
Увеличить
 
Рис. 4. Опухоль надпочечника с неоднородной структурой.

 
Увеличить
 
Рис. 5. Опухоль надпочечника с дегенерацией в центре.

По литературным (4,5,7) и нашим данным дифференциальная диагностика доброкачественных и злокачественных опухолей надпочечников крайне затруднительна. Только при наличии неровных и нечетких контуров, неоднородной внутренней структуре образования, ограничения подвижности почки при форсированном дыхании, наличии увеличенных регионарных лимфоузлов, метастазов в другие органы, можно предполагать злокачественный характер обнаруженного образования.

Таким образом, диагностика опухолей надпочечников представляет большие трудности, т.к. клинические проявления  их многообразны. Трудно переоценить возможности ультразвуковой диагностики, которая благодаря  простоте исследования, безвредности, высокой информативности позволила нам в 95% случаев правильно и быстро поставить диагноз. Проведенное исследование показало, что эхоскопия может стать равноправным методом исследования опухолей надпочечников наряду с компьютерной томографией. Пациентов, предъявляющих характерные для опухолей надпочечников жалобы, необходимо в первую очередь обследовать эхоскопически. При выявлении ультразвуковых признаков опухоли надпочечника следует направлять таких больных в специализированные отделения хирургической эндокринологии, где будет проведено дальнейшее тщательное обследование с использованием КТ и МРТ, что позволит значительно сократить сроки обследования больных, правильно и своевременно провести лечение.

Летература:

1. Демидов В.Н., Казеев К.Н., Базаров Э.Н., Куратев Л.В., Авдеева Т.Ф. Значение эхографии в дифференциальной диагностике доброкачественных и злокачественных кортикостером. Тер.архив 1988г.,№ 7,стр.386,том 60.
2. Григорян С.В., Кучинский Г.А., Молчанов Г.П. Особенности клинического течения и диагностики гигантских опухолей коры надпочечников. Тер.архив 1989г.,т.61,№1,стр.124.
3. Демидов В.Н., Казеев К.Н., Авдеева Т.Ф. Клиническая ультразвуковая диагностика. М.1987г.,с.17-28.
4. Митьков В.В. и соавт. Клиническое руководство по ультразвуковой диагностике. М.Видар 1996г.том1,стр.302-308.
5. Dobrynsky W., Nebenniren (Sonografische Diagnostik) von H.Kremer und Dobrynski W Urban u Scharzenberg 1988.
6. Yeh H.C. Sonography of the adrenal glands: normal glands and small masse. A.J.R. 1980.t.135,p.1167-1177.
7. Gunter R.W., Muller-Leise. Radiologie of Adrenals.In Lang E.K. ed Radiologie of theupper urinary tract. Berlin,Heideberg,New York,Springer-Verlag. 1988.
 

О журнале Архив Содержание