БАЗА изображений
"Новостей лучевой диагностики"

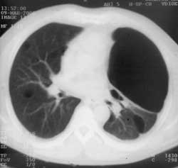
Преимущества рентгеновской компьютерной томографии в диагностике буллезной болезни легких.
 
1 2 3

Рис. 2. На компьютерной томограмме того же больного хорошо видна тонкостенная полость. В паринхиме обоих легких так же тонкостенные буллезные полости.


 
Новости лучевой диагностики 2000 2: 22-23