БАЗА изображений
"Новостей лучевой диагностики"

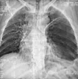
Преимущества рентгеновской компьютерной томографии в диагностике буллезной болезни легких.
 
1 2 3

Рис. 1. КТ-топограмма. Левое легкое поджато гигантской буллой, симулирующей спонтанный пневмоторакс. Отмечается смещение средостения вправо.


 
Новости лучевой диагностики 2000 2: 22-23