БАЗА изображений
"Новостей лучевой диагностики"

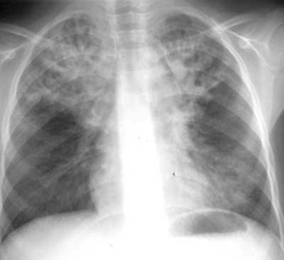
Муковисцидоз.
 
1 2

Рис. 1. Изменения в легких при муковисцидозе.


 
Новости лучевой диагностики 2000 2: 32-33