На главную страницу
На главную

 
 
О журнале Архив Содержание

(Новости лучевой диагностики 2000 2: 32-33)

Муковисцидоз.

Холмецкая О. В.

Поликлиника №6, г. Брест.

Муковисцидоз — наследственное заболевание, характеризующееся разрастанием соединительной ткани (фиброзом) в поджелудочной железе, легких, которое ведет к образованию в этих органах пустот, заполняемых тягучим секретом.

Муковисцидоз — хроническое заболевание. Заболевшие этой болезнью всю жизнь имеют дело с болезненными изменениями всех органов и последствиями этих изменений.

Муковисцидоз — общее заболевание. Оно поражает весь организм, но, прежде всего, органы дыхания и пищеварения, включая поджелудочную железу.

Муковисцидоз — наследственное заболевание. Наследственная основа заболевания закладывается в момент оплодотворения материнской яйцеклетки. Место нахождения болезненной наследственной основы — хромосома номер 7, ответственная за выработку белка, которому не достает лишь одной аминокислоты. Это ведет к тому, что во всех клетках желез нарушается перемещение солей через клеточную мембрану.
Муковисцидоз — не инфекционное заболевание. Особые качества бронхиальной слизи у больных муковисцидозом создают благоприятные предпосылки для того, чтобы в бронхах осели определенные бактерии и вызвали там хроническую инфекцию.

Симптомы муковисцидоза:
- сохраняющийся или часто повторяющийся кашель, приступообразный, похожий на кашель больного коклюшем,
- многократно повторяющаяся закупорка бронхов секретом,
- увеличение и уплотнение печени,
- признаки закупорки кишечника,
- приступообразные боли в животе,
- легочные кровотечения,
- образование настоящих полипов в носовых ходах,
- склонность к похудению, недостаточное набирание веса,
- хронические поносы,
- пищевая аллергия.

Как распознать муковисцидоз? Самым важным тестом при диагностировании муковисцидоза является потовый тест. С помощью этого теста определяется повышенное содержание поваренной соли в поте, что является патог-номоничным признаком муковисцидоза.

Наиболее достоверным тестом для подтверждения или отрицания муковисцидоза считается тест пилокарпин-ионофорез. Пилокарпин в очень малом количестве побуждает потовые железы к усилению секреции. Для того, чтобы абсолютно точно установить диагноз "муковисцидоз" необходимо провести три друг от друга независи-мых обследования на протяжении нескольких дней. У здоровых детей концентрация ионов NaCl в поте 20-40 ммоль/л, если этот показатель больше 60 ммоль/л, то это точно указывает на муковисцидоз. В возрасте от 18 лет показатель 60 ммоль/л является нормой, показатель 90 ммоль/л у взрослых свидетельствует о муковисцидозе.

Рентгеновское обследование легких имеет большое значение для дигноза. Оно, в частности, позволяет определить степень тяжести муковисцидоза. Рентгенологическая картина при муковисцидозе очень пестрая:
- деформация грудной клетки (форма "бочонка"),
- увеличение легких в объеме,
- уплотнение легочной ткани,
- бронхоэктазы,
- ателектазы (могут быть единичными или появляться друг за другом неоднократно),
- затемнение отдельных легочных полей,
- пневмоторакс (как осложнение).

Лечение муковисцидоза длительное, комплексное: антибиотикотерапия, ферментные препараты, лечебная физкультура, ингаляции, при наличии бронхоэктазов — оперативное лечение.

На протяжении многих лет нами наблюдается больная девочка Оля Т. 1992 года рождения, диагноз "Муковисцидоз, легочно-кишечная форма" был установлен в возрасте 3 месяцев в г. Бресте и подтвержден в 1999 г. в Республиканском медикогенетическом центре (Минск).

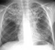
До 1995 года ребенок чувствовал себя удовлетворительно. Ухудшение состояния с 1996 года (Рис. 1): повышение температуры до 39 гр., ознобы, гнойная мокрота, в мокроте высевается золотистый стафилококк в сочетании с синегнойной палочкой.
 
Увеличить
 
 Рис. 1. Изменения в легких при муковисцидозе на рентгенограмме.

Ребенок консультируется в институте туберкулеза проф.М.Н.Ломако, диагноз — "Двусторонняя бронхопневмония на фоне муковисцидоза", проф.И.И.Лозюк, диагноз — "Хроническая "ползучая" пневмония с локализацией в обеих верхних долях, продуктивно-деструктивная форма с объемным уменьшением долей и частичной обструкцией нижнедолевых бронхов".

Проводится интенсивная терапия в условиях детской областной больницы г. Бреста: улучшение состояния и статуса незначительное. В 1997 г. ребенок представляется на консилиум в Детский хирургический центр (Минск): рекомендовано продолжить консервативную терапию.

Состояние ребенка остается достаточно тяжелым, учащаются обострения бронхолегочного процесса, ухудшается рентгенологическая картина, лабораторные показатели. На рентгенограммах имеют место деформация и обогащение легочного рисунка по сетчато-ячеистому типу за счет перибронхиальной реакции межуточной ткани, выраженная эмфизема, неоднородные с участками просветления затемнения в верхних долях обоих легких.

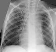
В 1998 г. девочка консультируется в клинике "Гроссхарден" (Мюнхен, Германия), где проводится интенсивная терапия с применением больших доз антибиотиков, в результате чего бронхоэктазы очистились (Рис. 2), микрофлора нормализовалась.
 
Увеличить
 
Рис. 2. Положительная динамика после интенсивного консервативного лечения.

После предоперационной подготовки выполнена верхняя лобэктомия слева. Послеоперационный период протекал гладко. На контрольной рентгенограмме органов грудной клетки слева хорошее расправление легочной ткани. Через три недели произведена верхняя лобэктомия справа. Контрольное рентгенобследование также указывает на хорошее расправление остаточной легочной ткани справа.

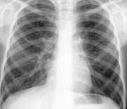
Через 2 недели после второй операции пациентка выписана из клиники в удовлетворительном состоянии. С 1998 г. по 2000 г. состояние девочки остается достаточно хорошим. На серии контрольных рентгенограмм легочный рисунок не изменен, легочные поля чистые (Рис. 3).
 
Рис. 3. Почти полная нормализация рентгенкартины после лечения.

Данные лабораторных исследований: ОАК 17.10.97: СОЭ 36 мм/ч, Нв 137 г/л, Er 4 млн, Tr 295 т, палочкоядерные нейтрофилы-1, сегментоядерные-70, лимфоциты-22, моноциты-6, эозинофилы-2, лейкоциты-9,4.

Анализ мокроты на флору: золотистый стафилококк, синегнойная палочка.

Копрограмма 10.10.97 - эпителий 1-2, слизь +, крахмальные зерна — единичные в поле зрения, нейтральный жир — значительное количество, яйца глистов и лямблии не обнаружены.
 

О журнале Архив Содержание