БАЗА изображений
журнала  "Новости лучевой диагностики"

УЗИ в диагностике и малоинвазивном лечении простой кисты почки.
 
1 2 3 4 5

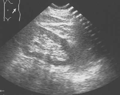
Рис. 4. Эхограмма левой почки. Жидкость из полости кисты эвакуирована. Четко определяются все сегменты почки.


 
Новости лучевой диагностики онлайн 2004 1