БАЗА изображений
журнала  "Новости лучевой диагностики"

УЗИ в диагностике и малоинвазивном лечении простой кисты почки.
 
1 2 3 4 5

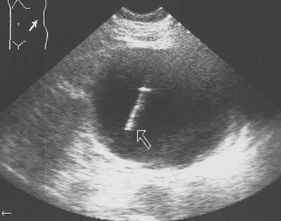
Рис. 2. Эхограмма области левой почки. В просвете кисты определяется тень пункционной иглы (указана стрелкой).


 
Новости лучевой диагностики онлайн 2004 1