БАЗА изображений
журнала "Новости лучевой диагностики"

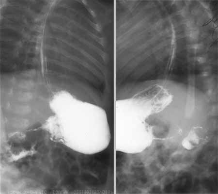
Врожденный пилоростеноз.
 
1 2 3 4

Рис. 2. Больной В., 1 мес. Врожденный пилоростеноз. Симптом «усика» или «жгутика». Вторичный гастроэзофагальный рефлюкс.


 
Новости лучевой диагностики 2002 1-2: 10-12