На главную страницу
На главную

 
 
О журнале Архив Содержание

(Новости лучевой диагностики 2002 1-2: 10-12)

Врожденный пилоростеноз.

Бычкова О. В., Сергеева А. А.ии

БелМАПО, Минск.

Врожденный пилоростеноз является одним из наиболее часто встречающихся заболеваний у детей раннего возраста, требующий немедленного оперативного лечения и обусловлен аномалией развития желудка в виде гипертрофии мышечного слоя и развития соединительной ткани, а также утолщения слизистой оболочки в пилорическом отделе. Выражается он нарушением проходимости пилорического канала в первые 2–5 недель жизни. Клинически пилоростеноз проявляется рвотой по типу «фонтана» после кормления, потерей массы тела, в тяжелых случаях уменьшением количества мочи, задержкой стула. Рвотные массы имеют неприятный запах, в них не бывает примеси желчи, что служит важным дифференциально-диагностическим признаком.

Несмотря на достижения детских хирургов в «пальпаторной» диагностике пилоростеноза и достоинства эндоскопического и ультразвукового методов диагностики, значение рентгенологического исследования не уменьшилось.

При назначении рентгеноскопического исследования режим кормления не меняется: последнее кормление в 6 утра. Обзорное исследование органов брюшной полости не проводят, а непосредственно перед исследованием удаляют желудочное содержимое с помощью зонда. По количеству удаленной жидкости можно судить о степени расширения полости желудка. Контрастное вещество (водную взвесь сульфата бария) смешивают с теплой кипяченой водой в соотношении 1:5 и с помощью того же зонда вводят 40 мл в желудок. После этого держат ребенка 10–15о на правом боку с поднятым изголовьем. Исследование проводят на трохоскопе в правом косом положении (с приподнятым левым бочком) для выведения выходного отдела желудка в оптимальную проекцию.

Различают прямые и косвенные рентгенологические признаки врожденного пилоростеноза. К прямым признакам относят изменение формы, величины и функции антропилорического отдела желудка, к косвенным — признаки, позволяющие составить представление об изменениях объема эвакуаторной функции, а также изменении картины распределения газа по петлям кишечника.

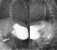
При резко выраженном сужении привратника в результате перильстатики желудка контрастное вещество заполняет только начальную часть пилорического канала, не проникая в двенадцатиперстную кишку — «симптом антропилорического клюва». Вследствие усиленных сокращений желудка и выраженного сужения привратника «клюв» то появляется, то исчезает. Периодическое возникновение этого признака указывает не только на резко выраженный стеноз, но и на присоединившийся к нему стойкий пилороспазм. В основании «клюва» стенка желудка нависает над суженым пилорическим каналом, происходит своего рода инвагинация утолщенного привратника в просвет антрального отдела — «симптом плечиков», или «фигурной скобки» (Рис. 1).


[Увеличить]

Рис. 1. Больной А., 1 мес. Врожденный пилоростеноз. Симптомы «плечиков» и «антрального клюва».

При менее выраженном стенозе удается получить рентгенологическое изображение всего пилорического канала, который значительно удлинен — до 10–15 мм, а иногда и более, при нормальной длине его 2–4 мм. Данный симптом носит название «усика» или «жгутика». В большинстве случаев этот признак является единственным, а иногда он может возникать вслед за клювовидным заполнением начала пилорического канала (Рис. 2).


[Увеличить]

Рис. 2. Больной В., 1 мес. Врожденный пилоростеноз. Симптом «усика» или «жгутика». Вторичный гастроэзофагальный рефлюкс.

Иногда вместо равномерного заполнения суженого пилорического канала возникает «симптом пунктирной линии». Неравномерное заполнение канала контрастным веществом объясняется значительно выраженным вторичным спазмом.

Признаком, свидетельствующим о сужении пилорического канала не только вследствие гипертрофии мышц, но и утолщения слизистой оболочки, является «симптом параллельных линий», образованных значительно расширенными складками слизистой оболочки. При получении изображения всего удлиненного пилорического канала наблюдается различная степень заполнения луковицы двенадцатиперстной кишки, в основании которой имеются вдавления от гипертрофированного мышечного слоя привратника в виде полумесяца (Рис. 3).


[Увеличить]

Рис. 3. Больной Г., 1,5 мес. Врожденный пилоростеноз. Симптом «параллельных линий». Распределение контраста по тонкой кишке мелкими порциями.

Установив хотя бы один из прямых признаков и обязательно зафиксировав его на прицельных рентгенограммах, исследование заканчивают, так как диагноз врожденного гипертрофического пилоростеноза в этом случае очевиден.

Что касается косвенных признаков, то можно выявить уменьшенное количество газа в петлях кишечника, желудок одновременно растянут большим количеством воздуха и жидким содержимым. Однако при обильной и частой рвоте этот признак теряет диагностическое значение.

Сегментирующая перистальтика желудка типична для врожденного пилоростеноза, причем иногда перистальтирующая перешнуровка при рентгенологическом исследовании имеет вид «песочных часов». Перистальтика учащена: одновременно по большой кривизне желудка выявляют три-четыре, а иногда и пять волн. Ближе к выходному отделу перистальтические сокращения достигают наибольшей глубины, а удлиненный и суженый привратник вообще не сокращается. Несмотря на усиление перистальтических сокращений желудка, его содержимое длительное время не перемещается в двенадцатиперстную кишку. Лишь изредка возникающие мощные сокращения желудка мгновенно выдавливают из него небольшое количество контрастного вещества, которое мелкими порциями переходит в петли тонкой кишки. В зависимости от давности заболевания, а также от степени выраженности сужения пилорического отдела желудка сегментирующая перистальтика сменяется поверхностной, а в дальнейшем вообще определяется с трудом.

К косвенными признакам врожденного пилоростеноза относится симптом задержки эвакуации содержимого желудка в двенадцатиперстную кишку. Часть бария наблюдается в желудке спустя 24–72 ч. после приема.

Наиболее часто врожденный пилоростеноз приходится дифференцировать от пилороспазма и спазма антропилорического отдела желудка, характерными признаками которых являются: небольшое уменьшение массы тела ребенка, рвота, значительная по частоте, но малым количеством, примесь желчи в рвотных массах, обычный стул, характерный для этого возраста. Несомненную пользу приносит пробное лечение нейроплегическими препаратами, которое, как правило, ведет к прекращению срыгивания и рвоты.

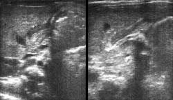
УЗИ позволяет видеть пилорическую оливу в продольном и поперечном срезах, определять характер перистальтики желудка и наблюдать продвижение желудочного содержимого через пилорический канал. При гипертрофическом пилоростенозе натощак в желудке обнаруживают большое количество жидкого содержимого, перистальтика глубокая, «перетягивающая». Пилорический канал при прохождении перистальтической волны не раскрывается. Длина канала составляет в среднем 21 мм (от 18 до 25 мм), наружный диаметр привратника 14 мм (от 11 до 16 мм). Циркулярная мышца представлена на продольном разрезе двумя параллельными гипоэкогенными полосками, между которыми располагается эхогенная полоска слизистой оболочки. На поперечном срезе циркулярная мышца визуализируется в виде гипоэхогенного кольца вокруг эхогенного кружка слизистой оболочки. Толщина мышцы составляет в среднем 5 мм (от 3 до 6 мм) (Рис. 4).


[Увеличить]

Рис. 4. Больной В., 1 мес. Врожденный пилоростеноз.

Литература.

  1. Кишковский А. Н. Дифференциальная рентгенодиагностика в гастроэнтерологии. М., Медицина, 1984г.
  2. Левин Ю. Р. Гастрография у детей раннего возраста. 1975 г.
  3. Тагер И. Л., Филипкин М. А. Рентгенодиагностика заболеваний органов пищеварения у детей, Москва. «Медицина», 1974 г.
  4. Рентгенодиагностика в педиатрии. Под редакцией проф. В.Ф. Баклановой, проф. М.А. Филиппкина. т.I. М., Медицина, 1988 г.
  5. Михайлов А. Н. Рентгеносимеотика и диагностика болезней человека. Минск, «Вышэйшая школа»; 1989 г.
  6. Михайлов А. Н. Руководство по медицинской визуализации. Минск, «Вышэйшая школа»; 1996 г.

О журнале Архив Содержание