| БАЗА
изображений
журнала "Новости лучевой диагностики" |
Сочетанные методы рентгеноконтрастного исследования в диагностике
заболеваний органов брюшной полости.
| 1 | 2 | 3 | 4 |
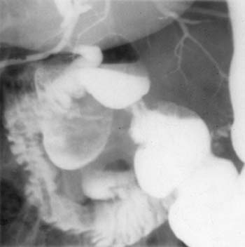
Рис. 2. Большой дивертикул сдавливает и смещает общий желчный проток.

|