БАЗА изображений
журнала "Новости лучевой диагностики"

Сочетанные методы рентгеноконтрастного исследования в диагностике заболеваний органов брюшной полости.
 
1 2 3 4

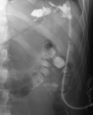
Рис. 1. По дренажной трубке в свищевой ход введено контрастное вещество (Слева). В толстую кишку (per rectum) введен воздух (Справа). В просвете толстой кишки определяется контраст, что свидетельствует о наличии толстокишечного свища.


Новости лучевой диагностики 2002 1-2: 2-3