БАЗА изображений
журнала "Новости лучевой диагностики"

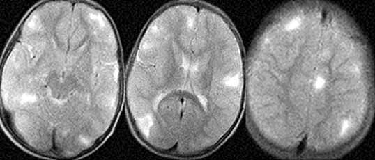
Туберозный склероз.
 
1 2

Рис. 2. МР-томограммы головного мозга, Т2-взвешенные изображения. Выявляются множественные очаги гиперинтенсивные в Т2W.


 
Новости лучевой диагностики 2002 1-2: 74-76