БАЗА изображений
журнала "Новости лучевой диагностики"

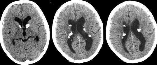
Туберозный склероз.
 
1 2

Рис. 1. РК-томограммы головного мозга. Визуализируются мультифокальные очаги высокой плотности, расположенные субэпиндимально.


 
Новости лучевой диагностики 2002 1-2: 74-76