БАЗА изображений
журнала "Новости лучевой диагностики"

Эхография в диагностике заболеваний легких у детей.
 
1 2 3 4 5 6 7 8 9

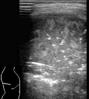
Рис. 6. Формирующиеся участки деструкции в безвоздушном пневмоническом очаге.


 
Новости лучевой диагностики 2002 1-2: 56-60