На главную страницу
На главную

 
 
О журнале Архив Содержание

(Новости лучевой диагностики 2002 1-2: 56-60)

Эхография в диагностике заболеваний легких у детей.

Мязин А. А.

Калужская детская городская больница, Россия.

В последнее время эхография все чаще применяется в диагностике заболеваний легких. В силу технических особенностей удобнее ее проводить у детей, где она может служить для первичной диагностики, как уточняющая методика и для оценки динамики патологического процесса.

Материалы и методы.

Ультразвуковое исследование легких и плевры проводилось 750 детям в возрасте от 1 дня до 15 лет, у которых предполагалось наличие легочного заболевания. Всего выполнено 1088 исследований, в том числе 338 повторных, которые выполнялись для оценки динамики патологического процесса до 6 раз. Исследования проводились на аппаратах: «Sonodiagnost 360» (фирма «Philips»), «SIM 5000 plus» (OTE BIOMEDICA), «SDL-310 B» («Shimadzu») датчиками частотой 7,5–3,5 МГц. Выбор частоты сканирования зависел от возраста ребенка, размеров и глубины залегания патологического очага.

Исследование можно проводить в любом положении пациента, это особенно важно для реанимационных больных. Наиболее удобно передние и боковые поверхности грудной клетки сканировать в положении больного лежа на спине с поднятыми руками. Плоскость сканирования датчика лучше ориентировать сначала параллельно ребрам, перемещая его сверху вниз. Затем исследуется задняя поверхность грудной клетки в положении лежа на животе с отведенными руками для того, чтобы лопатки не перекрывали поверхность легких. В зоне интереса проводится полипозиционное сканирование. Для определения высоты стояния нижних краев легких и их подвижности датчик устанавливают поперек ребер. Исследование базальных отделов легких и реберно-диафрагмальных синусов удобно проводить, используя в качестве акустического окна, печень справа и селезенку слева.

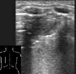
В норме при сканировании датчиком 7,5 МГц последовательно визуализировались следующие структуры: гипоэхогенный слой подкожной жировой клетчатки, тонкая эхогенная полоска наружного листка собственной фасции груди, гипоэхогенные мышечные слои, представленные мышцами плечевого пояса, брюшной стенки и межреберными мышцами с разделяющими их листками фасций. Мышечную ткань нетрудно отличить от жировой клетчатки, даже если полоска фасции отчетливо не видна. Глубже визуализируется эхогенная полоска внутренней грудной фасции, тонкий гипоэхогенный слой рыхлой клетчатки. Затем более тонкая эхогенная полоска, толщиной до 1 мм, являющаяся суммой отражения от париетального, висцерального листков плевры и границы мягкие ткани/воздушная легочная ткань. Просвет между листками плевры не виден. Наружный контур плевры ровный, можно увидеть зазубрину, соответствующую междолевой щели, а внутренняя поверхность эхогенной плевральной полоски не такая четкая и ровная, как наружная. Под ней регистрируются отдельные точечные эхосигналы. При дыхании отчетливо видно скольжение плевральных листков, вместе с висцеральным листком смещаются и точечные эхосигналы. Далее идут постепенно затухающие реверберации отражения от поверхности воздушной легочной ткани (Рис. 1).


[Увеличить]

Рис. 1. Нормальная эхограмма легкого.

Если используется датчик 3,5 МГц можно дифференцировать гипоэхогенную подкожную жировую клетчатку и мышечный слой, затем визуализируется эхогенная полоска плевральных листков и границы воздушной легочной ткани. Ее толщина несколько больше, чем при сканировании датчиком 7,5 МГц и составляет 1-1,5 мм, возможно из-за более глубокого проникновения ультразвуковой волны в воздушную легочную ткань. Во время исследования обращали внимание на положение и подвижность нижних краев легких, их симметричность.

Результаты.

У 172 человек патологии не выявлено. Рентгенологическое исследование, проведенное у 59 из них, также патологии не выявило. В 135 случаев отмечался эффект усиления позади плевральной полоски, имевшей в этом месте «шероховатый» вид. У 452 детей визуализировались соприкасающиеся с плеврой безвоздушные участки легкого. Они имели несколько пониженную или среднюю эхогенность. Внутри них можно было визуализировать эхогенные прерывистые, радиально идущие полосы — заполненные воздухом бронхи, анэхогенные трубчатые структуры — сосуды и заполненные жидкостью бронхи, тонкие эхогенные полоски — межсегментарные перегородки. В 39 случаях безвоздушные участки повторяли форму доли, в 62 сегмента, имея пирамидальную форму, обращенную основанием к плевре. В 89 безвоздушные участки в начале заболевания имели неправильную или близкую к округлой форму и размеры более 5 мм. В 107 случаях безвоздушные участки имели размеры менее 5 мм, в 9 — безвоздушным было все легкое. У 16 новорожденных отмечалась мозаичная картина с чередованием безвоздушных и заполненных воздухом участков легкого. Перечисленные изменения легких сопровождались скоплением жидкости в плевральной полости у 154 детей. Безвоздушные участки размерами более 5 мм были участками пневмонической инфильтрации, ателектазами, туберкулезными инфильтратами. Симметричные безвоздушные участки в базальных отделах легких в сочетании с небольшим количеством жидкости в плевральных полостях мы наблюдали у 5 детей с тяжелой сердечной недостаточностью. О наличии ателектаза думали при плоской форме безвоздушного участка, более острой форме пирамиды безвоздушного сегмента или более высоком стоянии края легкого, чем на противоположной стороне при обширном поражении. Туберкулезные инфильтраты в ультразвуковом изображении сходны с таковыми при неспецифических пневмониях. Безвоздушные участки размерами менее 5 мм встречались и при очаговых пневмониях, имевших клинико-рентгенологическое подтверждение, и при острых бронхитах, являясь, по-видимому, в этих случаях мелкими ателектазами.

Обсуждение.

Некоторые авторы, описывая нормальную ультразвуковую анатомию легких, указывают, что легкое представлено при трансторакальном доступе однородной повышенной эхогенности, а из диафрагмального доступа пониженной эхогенности структурой, содержащей сосуды [9]. Другие — что поглощение эхосигналов от легочной паренхимы наблюдается с 1/2 — 1/3 глубины легкого [2]. Но, поскольку глубина половинного затухания эхосигнала в легком меньше 1мм [4], то воздушная легочная ткань не видна, за эхогенной плевральной полоской визуализируются постепенно затухающие реверберации. Из диафрагмального доступа виден зеркальный артефакт изображения печени или селезенки. Если считать, что мы видим нормальную легочную ткань, то будет непонятно почему она из одного доступа имеет повышенную, а из другого — пониженную эхогенность и почему в ней могут быть видны сосуды, а бронхи нет, ведь в безвоздушных участках хорошо видны и те, и другие.

При снижении воздушности легочной ткани вследствие пневмонической инфильтрации или ателектаза, она становится эхографически видимой, имеет пониженную эхогенность и однородную эхоструктуру. Контур пневмонического очага в начале заболевания довольно ровный, форма может быть различной. В случае долевой пневмонии он повторяет форму доли, при сегментарной может иметь пирамидальную форму с основанием, обращенным к плевре, очаговой — неправильную, близкую к округлой. В безвоздушных пневмонических очагах бывают видны эхогенные, ветвящиеся, прерывистые полоски, являющиеся заполненными воздухом бронхами, а так же трубчатые анэхогенные структуры — сосуды или заполненные жидкостью бронхи и реже — тонкие линейные эхогенные полоски — соединительно-тканные межсегментарные перегородки (Рис. 2, 3). Эхогенная полоска плевры над безвоздушным участком (пневмоническим очагом или ателектазом) выглядит гораздо тоньше, чем над воздушным легким. Но это происходит не из-за «истончения плевры» [1], а из-за отсутствия составляющей отражения от поверхности воздушного легкого в комплексе плевральной эхогенной полоски. Пневмонические участки в наших наблюдениях имели несколько пониженную или среднюю эхогенность и не были гиперэхогенными, как указывают некоторые авторы [9, 2]. По мере же пневматизации при рассасывании инфильтрата в них появлялись множественные сливающиеся гиперэхогенные участки пневматизации. А высокая эхогенность при «свежих» пневмониях отмечалась за безвоздушными участками на границе с воздушной легочной тканью вследствие дистального усиления.


[Увеличить]

Рис. 2. Пневмонический очаг, содержащий эхогенные полоски воздуха в бронхах и тонкую межсегментарную перегородку.



[Увеличить]

Рис. 3. Пневмонический очаг с заполненными жидкостью бронхами.

Плоская форма безвоздушного участка, когда в одном срезе он имеет размеры до нескольких см, а в перпендикулярной ему плоскости гораздо меньше, свидетельствует об ателектазе (Рис. 4, 5). При обширных безвоздушных участках на его присутствие указывает более острый конус безвоздушного сегмента, более высокое стояние края легкого, чем на противоположной стороне. В отличие от пневмонии в ателектазе не визуализируются эхогенные полоски содержащих воздух бронхов [7]. Исключение могут составлять крупные ателектазы у новорожденных, поскольку причина их возникновения не обструкция бронха, а нерасправление части легкого. Позади безвоздушных участков регистрируются усиленные эхосигналы.


[Увеличить]

Рис. 4. Небольшой ателектаз.



[Увеличить]

Рис. 5. То же, что на Рис. 4, во взаимно перпендикулярной плоскости.

Мелкие безвоздушные участки размерами несколько мм с дистальным эффектом усиления могут быть пневмоническими очажками или мелкими ателектазами. Полоски усиленных эхосигналов, идущие от плевры, имеющей в этом месте «шероховатый» вид, связывают с прохождением ультразвукового луча через пузырьки жидкости в мелких бронхах при бронхитах и ОРВИ, т. е. «влажном легком» [2, 3]. Повышение эхогенности или усиление ревербераций, описываемое некоторыми авторами как признак очаговой пневмонии [4], отмечался нами также и при бронхитах и ОРВИ и не является, на наш взгляд, специфическим признаком очаговой пневмонии. Возникновение этого феномена, по-видимому, связано с усилением лимфотока, сопутствующем всем этим заболеваниям, и прохождением ультразвукового луча через расширенную поверхностную лимфатическую сеть, которая объединяет лимфатическую систему висцеральной плевры и кортикального слоя легкого, а также с повышением кровенаполнения субплеврально расположенных кровеносных сосудов. На рентгенограммах у таких больных отмечается усиление сосудистого рисунка.

По мере разрешения пневмонии в очаге появляются множественные гиперэхогенные воздушные включения. Контуры очага становятся нечеткими и неровными, и, наконец, этот участок перестает визуализироваться. Пневматизация происходит по направлению от корня легкого к периферии. В этом месте в течение некоторого времени отмечается «шероховатость» эхосигнала от плевры и полоски усиленных эхосигналов, аналогично «пузырьковому эффекту» при влажном легком. Восстановление воздушности ателектаза происходит так же, как и при пневмонии, но при чистом ателектазе намного быстрее. Например, восстановление проходимости бронха после купирования астматического статуса или правильной установки смещенной интубационной трубки.

При осложненном течении пневмонии безвоздушные участки увеличиваются в размерах, несколько мелких сливаются в более крупные. Очагово-сливная форма может сопровождаться нагноением. В этих случаях в безвоздушной части легкого появляются небольшие участки несколько повышенной эхогенности, в центре которых затем возникают анэхогенные включения с нечетким контуром, которые могут быть окружены эхопозитивным ободком. Такие участки часто бывают множественными и являются формирующимися очагами деструкции (Рис. 6). На фоне адекватной терапии они могут исчезать. В случае формирования абсцесса в безвоздушном участке легкого формируется жидкостная полость, содержащая эхогенную взвесь, пузырьки воздуха (Рис. 7), а при дренировании его через бронх, в полости абсцесса появляется большое количество воздуха и эхографическая картина напоминает таковую при рассасывании пневмонии. Эхография, таким образом, имеет преимущество перед рентгенографией в раннем выявлении деструктивных форм, но при попадании воздуха в полость абсцесса она менее информативна. При появлении участков распада внутри туберкулезного инфильтрата также могут быть видны анэхогенные полости.


[Увеличить]

Рис. 6. Формирующиеся участки деструкции в безвоздушном пневмоническом очаге.



[Увеличить]

Рис. 7. Абсцесс легкого.

У новорожденных нередко отмечается «пестрая» картина с чередованием мелких безвоздушных и воздушных участков легкого. По-видимому, это связано с наличием множественных мелких ателектазов (Рис. 8). При острых пневмониях мы не наблюдали «локального плеврального выпота», выступающего в сторону легкого с неровным краем на границе легкого [2, 3]. Судя по приводимым снимкам авторы под видом выпота описывают собственно пневмонические очаги. Тем более, что как они сами указывают, рентгенологического и при направленной пункции подтверждения наличия выпота они не получили. Плевральный выпот, сопутствовавший острым пневмониям, по нашим наблюдениям в небольших количествах локализовался в синусах, большие его скопления могли поджимать нижние отделы легких, но локально он не выступал в сторону легкого и не имел неровного края на границе с легким. Чувствительность эхографии в диагностике пневмоний и ателектазов высока 89 — 100% [4, 8], поскольку безвоздушные участки практически всегда соприкасаются с поверхностью легкого вследствие конической формы легочных сегментов, обращенных основанием к плевре.


[Увеличить]

Рис. 8. Пневмония у новорожденного.

Симметричные безвоздушные участки в базальных отделах легких визуализируются при тяжелой сердечной недостаточности вследствие скопления транссудата в альвеолах отлогих мест. Им сопутствует жидкость в реберно-диафрагмальных синусах (Рис. 9).


[Увеличить]

Рис. 9. Поджатый безвоздушный край лёгкого, окруженный жидкостью.

Туберкулезные инфильтраты в ультразвуковом изображении сходны с пневмоническими. При появлении участка распада внутри инфильтрата визуализируются гипоэхогенные очаги. Используя супрастернальный доступ, можно визуализировать у больных туберкулезом рядом с дугой аорты увеличенные лимфоузлы в виде овальных гипоэхогенных образований, единичных, или расположенных цепочками. В процессе лечения эхогенность их повышается, они плохо дифференцируются на фоне окружающих тканей и перестают визуализироваться.

Исходом тяжелых легочных заболеваний может быть пневмосклероз. Обнаружить его с помощью эхографии можно не всегда. Это безвоздушный участок с нечетким контуром, неоднородный за счет многочисленных тяжистых эхогенных структур. Линия плевры в этом месте деформирована, утолщена.

Врожденные кисты легких представлены округлыми анэхогенными образованиями с четким, ровным контуром [5]. Эхинококковые кисты могут иметь утолщенную капсулу, пристеночные и взвешенные эхогенные включения [6].

Неоднородное безвоздушное образование с анэхогенным компонентом, визуализируемое в проекции места плевральной пункции, может быть гематомой легочной ткани. Размеры образования невелики и оно в динамике быстро перестает визуализироваться.

Заключение.

Чувствительность эхографии в выявлении безвоздушных участков легких высока. Она может применяться как первичная методика для их поиска, для контроля динамики патологического процесса. При неосложненных пневмониях эхографического исследования достаточно, рентгеновское можно не проводить. Что же касается специфичности, то однотипность ультразвуковой картины при некоторых заболеваниях, а также неоднозначность их толкования в литературе требует дальнейшего исследования этого вопроса. Важным преимуществом эхографии является отсутствие ионизирующего излучения, вследствие чего ее можно проводить сколь угодно часто.

Литература.

  1. Кузнецов А.А., Иванищак Б.Е., Пикулев Л.А. Возможности ультразвука в диагностике крупозной пневмонии // Ультразв. диагн. N 2. 1997. С.25.
  2. Дворяковский И.В. Эхография внутренних органов у детей. М. 1994. С.393-396.
  3. Ультразвуковая диагностика в детской хирургии. Под. ред. Дворяковского И.В., Беляевой О.А. М. 1997. С.119-127.
  4. Тимофеев А.А., Волынец Г.В., Горячев С.В. Острые пневмонии у детей в эхографическом изображении // Ультразв. диагн. акуш. гинекол. педиатр. N 2. 1995. С.86-93.
  5. Сапожников В.Г., Куликов В.А., Тарасова О.В., и др. О возможности эхографической диагностики кисты лёгких у новорожденных // Ультразв. диагн. акуш. гинекол. педиатр. N 4. 1994. С.76-78.
  6. Кальная Т.В., Самохина Н.В., Кальная Н.А. Возможности сочетанной рентгено ультразвуковой диагностики заболеваний органов грудной клетки у детей //Ультразв. диагн. акуш. гинекол. педиатр. N 2. 1994. С.41.
  7. Yu C-J., Yang P-C., Chang D-B., et al. Diagnostic and therapeutic use of chest sonography. // Amer. J. Radiol. 1992. v.159. p.695-701.
  8. Дворяковский И.В., Федоров А.М., Ляшко В.В., и др. Возможности эхографии в диагностике острой пневмонии у детей // Материалы 1 Съезда ассоциации специалистов УЗД в медицине. М. 1991. С.169.
  9. Репик В.И. Ультразвуковое исследование лёгких и плевры // Клиническое руководство по ультразвуковой диагностике. Под ред.Митькова В.В., Медведева М.В. Т.III. М. Видар, 1997. С.242-244.

О журнале Архив Содержание