БАЗА изображений
журнала "Новости лучевой диагностики"

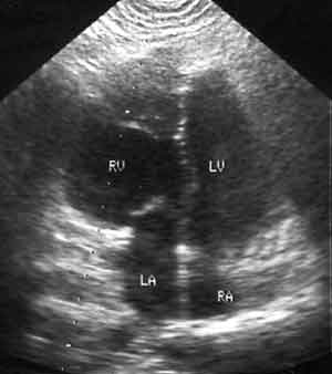
Случай коррегированной транспозиции магистральных сосудов.
 
1 3

Рис. 3. При Эхо-КГ-исследовании изображение, полученное из четырехкамерной позиции, позволило заподозрить инверсию желудочков.


 
Новости лучевой диагностики 2002 1-2: 54-55