(Новости лучевой диагностики 2002 1-2: 54-55)
Случай коррегированной транспозиции магистральных сосудов.
Булгак А. Г., Вертинский Е. А., Чиж С. А.
БелМАПО.
Коррегированная транспозиция магистральных сосудов (КТМС) — редкий врожденный
порок сердца, частота которого колеблется в пределах 0,4–1,2% от числа всех
врожденных пороков сердца [4]. Анатомическая сущность порока заключается в том,
что в результате бульбо-вентрикулярной инверсии при нормальном положении сердца
морфологически правый желудочек располагается слева и от него отходит аорта,
занимающая левостороннее положение, а морфологически левый желудочек — справа,
и от него отходит легочная артерия, занимающая положение справа от аорты. На
Рис.1 представлена анатомическая картина данной аномалии [5]. Порок коррегирован
тем, что морфологически левый желудочек сообщается посредством двустворчатого
клапана с правым предсердием, и в него поступает венозная кровь, а морфологически
правый желудочек сообщается посредством трехстворчатого клапана с левым предсердием,
и в него поступает артериальная кровь. Поэтому, при изолированной КТМС, без
сопутствующих пороков, расстройства гемодинамики отсутствуют. Характерным для
данного порока является наличие различных вариантов атриовентрикулярных блокад
(примерно у 70% больных), как следствие нарушения нормальной топографии межжелудочковой
перегородки и проводящей системы [1]. Блокада бывает врожденной или возникает
в процессе жизни и имеет сначала перемежающийся, а затем и постоянный характер.
На ЭКГ при этом обычно наблюдается отклонение электрической оси сердца влево.
Помимо нарушения атриовентрикулярной проводимости у таких пациентов может вызываться
дисфункция трикуспидального клапана и анатомически правого желудочка, поскольку
они не приспособлены к нагрузкам, приходящимся на левые отделы сердца. Прогноз
для жизни у таких пациентов благоприятный. В случае развития полной атрио-вентрикулярной
блокады показана имплантация искусственного водителя ритма.

[Увеличить]
|
Рис. 1. Коррегированная транспозиция магистральных сосудов.
Снимок взят из H. Feigenbaum “Cardiac Ultrasound” – London, 1993.
|
|
Приводим наше наблюдение. Больная С., 41 г. поступила В ГК БСМП г.Минска
по направлению из поликлиники 7.11.2000г. с жалобами на перебои в работе сердца,
слабость. Из анамнеза стало известно, что подобные жалобы отмечаются у пациентки
на протяжении 10-11 лет, в связи с чем лечилась и обследовалась стационарно
в 1994 году. Предполагались диагнозы постмиокардитического кардиосклероза, ПМК.
Из перенесенных заболеваний отмечает простудные. Данные объективного обследования:
больная правильного телосложения, нормального питания. Кожные покровы нормальной
окраски, чистые. Периферические лимфоузлы не пальпируются. В легких дыхание
везикулярное, хрипов нет. Тоны сердца приглушены, небольшой систолический шум
на верхушке. Ps — 70–76 в мин., аритмичный. АД 110/70 мм рт.ст. Живот при пальпации
мягкий, безболезненный. Печень, селезенка не пальпируются. Стул, диурез без
особенностей. Общий анализ крови, мочи, биохимический анализ крови без отклонений
от нормы. На ЭКГ (Рис. 2) — синусовый ритм, отклонение электрической
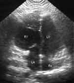
оси сердца влево, атриовентрикулярная блокада 2-й ст. типа Мобитц 1. При Эхо-КГ-исследовании
изображение, полученное из четырехкамерной позиции, позволило заподозрить инверсию
желудочков (Рис. 3). Используя метод дедуктивной эхокардиографии [2,3],
морфологически правый желудочек был нами идентифицирован по наличию модераторного
пучка, трабекулярности его верхушки, а также соответствующему ему трикуспидальному
клапану, который находился ближе к верхушке, чем митральный. В левое предсердие,
которое сообщалось через трикуспидальный клапан с анатомически правым желудочком,
впадали легочные вены. Правое предсердие через митральный клапан сообщалось
с анатомически левым желудочком. При этом при получении пятикамерной позиции
первой выявляемой магистральной артерией была легочная артерия, которая отходила
от анатомически левого желудочка. Это связано с тем, что легочная артерия при
данном пороке расположена больше кзади, чем обычно.

|
Рис. 2. На ЭКГ синусовый ритм, отклонение электрической
оси сердца влево, атриовентрикулярная блокада 2-й ст. типа Мобитц
1.
|
|

[Увеличить]
|
Рис. 3. При Эхо-КГ-исследовании изображение, полученное
из четырехкамерной позиции, позволило заподозрить инверсию желудочков.
|
|
Таким образом, наличие характерной ЭКГ-картины, данных Эхо-КГ исследования
позволили поставить диагноз этой редкой врожденной аномалии сердца.
Литература.
- Чазов Е.А. «Руководство по кардиологии» т.3 - М.,1982
- Шиллер Н., Осипов М.А. «Клиническая эхокардиография» - М.1993.
- Фейгенбаум Х. «Эхокардиография» пер. с англ. - М.1999.
- Braunwald E. «Heart disease» - Philadelphia, 1988.
- Feigenbaum H., «Cardiac ultrasound» - London, 1993.