| БАЗА
изображений
журнала "Новости лучевой диагностики" |
Ультразвуковая диагностика поражений коленного сустава.
| 1 | 2 | 3 | 4 | 5 | 6 | 7 | 8 | 9 | 10 | 11 | 12 | 13 | 14 |
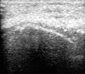
Рис. 7. Ревматоидный артрит, III стадия; резкое истончение гиалинового
хряща медиального мыщелка (+), наличие над ним жидкости (стрелка), уплощение
суставной поверхности.

|