(Новости лучевой диагностики 2002 1-2: 48-51)
Ультразвуковая диагностика поражений коленного сустава.
Алешкевич А. И.
БелМАПО.
Коленный сустав является вторым по величине крупным суставом организма (после
тазобедренного), в функциональном отношении играющем для человека исключительную
роль, залогом его физической активности. Соответственно по частоте поражения
коленный сустав занимает также второе место [1]. Особенности анатомического
строения, расположения, функциональные особенности коленного сустава создают
большую вероятность перегрузки, травматизации, различным заболеваниям по сравнению
с другими крупными суставами организма. Даже незначительные нарушения функции
этого сустава, болезненность приводят к значительному дискомфорту для человека,
к потере его трудоспособности, при значительном поражении — к инвалидизации
[4]. И если учесть, что основной контингент больных приходится на цветущий,
работоспособный возраст, становится понятным тот интерес и внимание, которые
проявляются к изучению паталогии коленного сустава.
Известно, что к основным заболеваниям коленного сустава относят травматические,
воспалительные, дегенеративно-дистрофические и опухолевые. В общей структуре
воспалительных и дегенеративно-дистрофических заболеваний коленного сустава
ведущее место принадлежит деформирующему остеоартрозу (ДОА) и ревматоидному
артриту (РА) [3].
Для диагностики заболеваний коленного сустава в настоящее время применяются
различные методы исследования: рентгенография, артроскопия, компьютерная томография,
магнитно-резонансная томография, метод ультразвукового исследования, сцинциграфия,
тепловидение. Диагностика осуществляется с учетом жалоб больного, анамнеза,
клинических проявлений, данных лабораторного исследования. Несмотря на большое
количество диагностических методов основная роль в диагностике заболеваний коленного
сустава принадлежит традиционной рентгенографии [5].
Обладая рядом несомненных достоинств — неинвазивность (в отличии от артроскопии),
доступность данного метода, простота исследования, экономичность (в сравнении
с КТ и МРТ) — традиционная рентгенография уже не может полностью удовлетворять
потребности современной медицины в ранней диагностике заболеваний коленного
сустава, в первую очередь дегенеративно-дистрофических и воспалительных. Как
известно, рентгенография в большинстве случаев позволяет определить поражение
коленного сустава при вовлечении в патологический процесс костных элементов,
и зачастую, эти изменения уже необратимы и трудны для лечения.
В последнее время интенсивно развивается методика ультразвукового исследования
(УЗИ) костно-суставной системы. Применение УЗИ в артрологии относительно новое
направление и, думается, довольно перспективное.
Разработанная рядом авторов методика исследования (L. Rubaltelly, Graaf, 1993;
Hinzman J., Kupatz P., 1994 и др.) позволяет определять основные признаки патологических
процессов коленного сустава — травматических повреждений, дегенеративно-дистрофических
и воспалительных процессов и др.
Преимуществом УЗД коленного сустава является доступность, экономичность, отсутствие
лучевой нагрузки на пациента, возможность визуализации мягкотканных компонентов
сустава, позволяющая выявить ранние признаки поражений, которые практически
не определяются при рентгенографии.
Показаниями к ультразвуковому исследованию являются [2]:
— дегенеративно-дистрофические заболевания сустава;
— воспалительные заболевания;
— подозрение на повреждение менисков, боковых и крестообразных связок;
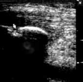
— поиск перелома надколенника (Рис. 1);
— остеохондропатии;
— опухоли костей, образующих коленный сустав.

[Увеличить]
|
Рис. 1. Область надколенника, сагиттальная проекция; перелом
надколенника (стрелка).
|
|
Рамки данной статьи не позволяют подробно остановиться на всех аспектах (особенностях
укладки, углах сгибания коленного сустава для лучшей визуализации тех или других
структур, положение датчика) известных методик и собственного опыта исследования
коленного сустава с помощью ультразвука.
Ультразвуковое исследование логично начинать с надпателлярной области. Здесь
хорошо визуализируется при продольном и поперечном сканировании сухожилие четырехглавой
мышцы бедра, контуры верхнего полюса надколенника, надпателлярная сумка, исследование
последней особенно информативно для диагностики дегенеративно-дистрофических
и воспалительных поражений. В норме она имеет вид гипоэхогенного образования
с наличием разветвлений или складок (при отсутствии в ней избытка давления).
При этом в норме синовиальная оболочка не визуализируется. При деформирующем
остеоартрозе с синовитом отмечается увеличение сумки, выпрямление складок, наличие
избытка жидкости (Рис. 2). Жидкость относительно однородная. При воспалительном
поражении (при ревматоидном артрите) также отмечается увеличение сумки с наличием
избытка жидкости, но количество жидкости обычно больше, чем при остеоартрозе,
она чаще неоднородная, обычно более «гиперэхогенная», синовиальная оболочка
утолщена до 1–3 мм и более (Рис. 3).

[Увеличить]
|
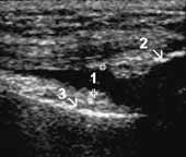
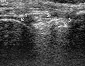
Рис. 2. I стадия остеоартроза. Умеренное увеличение b. suprapatellaris
(1+) с наличием избытка относительно однородной жидкости, 2 — надколенник,
3 — бедренная кость.
|
|

[Увеличить]
|
Рис. 3. Ревматоидный артрит, III стадия. Выраженное увеличение
b. suprapatellaris с наличием неоднородной жидкости и пролиферацией
синовиальной оболочки (+).
|
|
Дальнейшее исследование с флексией коленного сустава и перевод датчика в поперечное
положение позволяет визуализировать область пателло-феморального сустава, в
частности гиалиновый хрящ и наличие или отсутствие над ним избытка жидкости.
Перевод датчика на область ниже надколенника дает возможность определить поверхностно
расположенную собственную связку надколенника, ее структуру, поднадколенниковое
жировое тело, поднадколенниковую синовиальную складку, глубже которой расположена
передняя крестовидная связка (Рис. 4). Наличие гиперэхогенных включений
передней крестовидной связки свидетельствует о ее кальцинозе (лигаментозе) (Рис.
5). Данное положение датчика позволяет визуализировать суставной хрящ латерального
и медиального мыщелков (Рис. 6), изменения формы суставных поверхностей
бедренной кости (уплощение и т.д.) (Рис. 7). Постановка датчика на внутреннюю
и наружную боковую поверхности коленного сустава позволяет визуализировать соответственно
внутреннюю и наружную коллатеральные связки (Рис. 8, 9), краевые костные
разрастания бедренной и большеберцовой костей (Рис. 10).

[Увеличить]
|
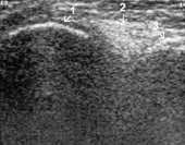
Рис. 4. Коленный сустав в норме. Поднадколенниковая область,
сагиттальная проекция; 1(+) — собственная связка надколенника, 2
— поднадколенниковое жировое тело, 3 — поднадколенниковая синовиальнакя
складка, 4(+) — передняя крестовидная связка.
|
|

[Увеличить]
|
Рис. 5. Лигаментоз передней крестовидной связки (+).
|
|

[Увеличить]
|
Рис. 6. Коленный сустав в норме. Поднадколенниковая область,
сагиттальная проекция; гиалиновый хрящ медиального мыщелка бедренной
кости в норме (+).
|
|

[Увеличить]
|
Рис. 7. Ревматоидный артрит, III стадия; резкое истончение
гиалинового хряща медиального мыщелка (+), наличие над ним жидкости
(стрелка), уплощение суставной поверхности.
|
|

[Увеличить]
|
Рис. 8. Коленный сустав в норме. Наружная поверхность коленного
сустава, сагиттальная проекция. Наружная (малоберцовая) коллатеральная
связка (1+), 2 — большеберцовая кость, 3 — головка малоберцовой
кости.
|
|

[Увеличить]
|
Рис. 9. Коленный сустав в норме. Внутренняя поверхность
коленного сустава, сагиттальная проекция; внутренняя (большеберцовая)
коллатеральная связка (+).
|
|

[Увеличить]
|
Рис. 10. Деформирующий остеоартроз, III стадия. Наружная
поверхность коленного сустава, сагиттальная проекция; выраженные
краевые костные разрастания бедренной (1+) и большеберцовой костей
(2+).
|
|
С задней поверхности коленного сустава можно визуализировать патологические
образования данной области (киста Бейкера), суставные хрящи латерального и медиального
мыщелков, задние части медиального и латерального мыщелков, задние рога латерального
и медиального менисков (Рис. 11, 12), заднюю крестовидную связку (Рис.
13).

[Увеличить]
|
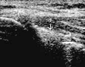
Рис. 11. Коленный сустав в норме. Задняя поверхность, сагиттальная
проекция. 1 — медиальный мыщелок бедренной кости, 2 — задний рог
медиального мениска, 3 — большеберцовая кость.
|
|

[Увеличить]
|
Рис. 12. Коленный сустав в норме. Задняя поверхность сагиттальная
проекция. 1 — латеральный мыщелок бедренной кости, 2 — задний рог
латерального мениска, 3 — большеберцовая кость.
|
|

[Увеличить]
|
Рис. 13. Коленный сустав в норме. Задняя поверхность сагиттальная
проекция. 1 — медиальный мыщелок, 2 (+) — задняя крестовидная связка,
3 — большеберцовая кость.
|
|
Оценку гиалинового хряща сустава мы проводим по следующим критериям: толщина,
равномерность толщины, структура, поверхность, изменения в области субхондральной
пластины (наличие кист, эрозий) [6].
При этом необходимо проводить осмотр и сравнение хряща как медиального и латерального
мыщелков бедренной кости, так и в различных отделах самих мыщелков (в зонах
большей или меньшей механической нагрузки) [5], наличие или отсутствие над ними
избытка жидкости. При деформирующем остеоартрозе коленного сустава происходит
уменьшение толщины гиалинового хряща соответственно стадии процесса, как правило
неравномерное, наличие гиперэхогенных включений (Рис. 14).

[Увеличить]
|
Рис. 14. Деформирующий остеоартроз, III стадия. Выраженное
неравномерное истончение гиалинового хряща (+).
|
|
При этом в основном хрящ уменьшается больше на медиальном мыщелке в соответствии
с большей механической нагрузкой на данную область. Для ревматоидного артрита
характерно в начальных стадиях увеличение толщины хряща вследствие его набухания,
наличие над ним жидкости, в области субхондральной пластины отмечаются мелкие
кисты и эрозии. В дальнейшем хрящ относительно равномерно истончается (при сравнении
латерального и медиального мыщелков), количество кист и эрозий увеличивается
[2].
Таким образом, одним из достоинств ультразвукового исследования коленного сустава
является возможность определения ранних патологических изменений при ДОА и РА,
что позволяет, с одной стороны, проводить диагностику данных заболеваний как
в начальных стадиях, так и определять стадию процесса, с другой — осуществлять
их дифференциальную диагностику.
Образец протокола ультразвукового исследования коленного сустава [2]:
Bursa suprapatellaris не изменена (расширена, с наличием избытка однородной
или неоднородной жидкости, синовиальная оболочка не визуализируется (или утолщена).
Толщина гиалинового хряща в области пателло-феморального сустава, латерального
и медиального мыщелка в пределах нормы до 3 мм (или уменьшена, увеличена), равномерная,
структура однородная (с наличием гиперэхогенных включений), поверхность ровная.
Субхондральная пластина не изменена (с наличием кист и эрозий). Суставные поверхности
бедренной кости без деформации (уплощены, деформированы). Краевые костные разрастания
бедренной и большеберцовой костей не определяются (имеются до мм).
Целостность четырехглавой мышцы бедра и собственной связки надколенника не
нарушена, боковые связки не изменены, при функциональном тесте целостность волокон
сохранена (имеются УЗ данные частичного повреждения или полного разрыва). Передняя
крестовидная связка не изменена (имеются признаки кальцификации). Мениски: наружный
— структура однородная, контуры четкие, ровные; фрагментации и кальцинации не
выявлено; внутренний — структура однородная, контуры четкие, ровные; фрагментации
и кальцинации не выявлено (имеются признаки повреждения).
Литература.
- Алешкевич А.И. Особенности рентгенодиагностики воспалительных и дегенеративно-дистрофических
заболеваний коленного сустава // Актуальные вопросы медико-санитарной помощи
населению: Материалы областной научн.-практ. конф. - Минск, 1998. - С. 28-32.
- Диагностический ультразвук. Под ред. Зубарева А.В. - М.: Реальное Время,
1999. - 176 с.
- Лагунова И.Г. Рентгеновская симеотика заболеваний скелета. - М., 1966.
- 156 с.
- Максимович М.М. Структура инвалидности при артрозах крупных суставов //
Повреждения и заболевания позвоночника и суставов: Материалы научн.-практ.
конф. травматологов-ортопедов. - Минск, 1998. - С. 34-35.
- Михайлов А.Н., Алешкевич А.И. Рентгенологическая визуализация коленного
сустава в оценке его биотрибологии // Теория и практика медицины: Сб. научн.
тр. Вып. 1 / Под редакцией И.Б. Зеленкевича и Г.Г. Иванько. - Минск. - 1999.
- С.116 - 118.
- Ультразвуковое исследование в оценке состояния коленного сустава при деформирующем
остеоартрозе. А.Ю. Васильев, И.Б. Климова, Е.А. Шляпак, В.Л. Зимин, Н.В. Железинская
Н.В., Выклюк М.В. // Вестн. рентгенологии и радиологии. - 2001. - №2. - С.
38-40.